|
ANALIZA HUMANOG GENOMA
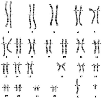
Normalni i patološki kariotip
Kariotip
U jedru svake somatske ćelije čovjeka nalazi se hromozomski komplement
od 46 hromozoma, ili 23 para homologih hromozoma (jedan set hromozoma
je porijeklom od oca , drugi od majke). Pored 22 para autozoma, u svakoj
ćeliji se nalazi i par polnih hromozoma , koji su u ženskom polu isti
XX, a u muškom različiti XY. Svaki metafazni hromozom se sastoji od dvije
istovjetne hromatide, a svaka hromatida sadrži jedan linearni molekul
DNK povezan sa histonima
i nehistonskim proteinima. Kao i kod ostalih eukariota , DNK
hromozoma se sastoji od 50% jedinstvenih i 50% repetitivnih sekvenca.
Ukupan diploidni set hromozoma sadrži oko 7,1x10(na9) parova nukleotida.
Jedinstvene sekvence obuhvataju strukturne gene za različite proteine
i naizmjenično su raspoređene najčešće sa srednje repetitivnim sekvencama.
Srednje repetitivne sekvence se prepisuju u rRNA, tRNA i iRNA za histone.
Ove sekvence za histone se nalaze na hromozomu 7 kod čovjeka. Visoko repetitivne
sekvence su raspoređene u pericentromernim I telomernim regionima hromozoma.
Ove sekvence bi mogle biti uključene u spiralizaciji hromozoma u mitozi
i mejozi, u konjugaciji, a kasnije i u separaciji homologih hromozoma
u mejozi.Svaki hromozom ima centromeru, a prema položaju centromere ,
koja dijeli hromozom na dva dijela (p i q), ustanovljene su tri grupe
hromozoma čovjeka: metacentrični hromozomi (sa medijalnim položajem centromere),
submetacentrični (sa centromerom pomjerenom ka jednom kraju hromozoma)
i akrocentrični (sa terminalnim položajem centromere). Metacentrični hromozomi
su 1,3,6,19 i 20, akrocentrični su 13,14,15,21, 22 i y, a svi ostali hromozomi
su metacentrični. Centromera je dio hromozoma koji u interakciji sa diobnim
vretenom obezbjeđuje pravilnu segregaciju hromozoma. U samoj centromeri
ili u njenoj blizini nalazi se familija sekvenci dna koje se periodično
ponavljaju.

Telomere hromozoma predstavljaju prirodne krajeve linearnog molekula
dna i imaju višestruke funkcije.Jedna od najznačajnih je očuvanje linearnog
integriteta hromozoma i zaštita od degradacije ili fuzije slobodnih krajeva
dna hromozoma.
Normalni kariotip
EUPLOIDIJA
Euploidna ćelija sadrži normalan broj hromozoma za određenu vrstu.Tako
su humane somatske ćelije (2 haploidna seta 2n) i humane gamete (1n) euploidne.

Patološki kariotip
Hromozomske aberacije mogu biti
: STRUKTURNE I NUMERIČKE
STRUKTURNE : intrahromozomske i interhromozomske
NUMERIČKE: polipoidije i aneuploidije
Poliploidija je numerička hromozomska aberacija karakterizirana
povećanjem broja haploidne hromozomske garniture (3n, 4n, 5n itd.). Tipovi
poliploidije su triploidija (3n = 69), tetraploidija
(4n = 92), pentaploidija (5n = 115), itd.
Aneuploidija je numerička hromozomska promjena kod koje
postoji višak ili manjak hromozoma unutar jednog hromozomskog para.Aneuploidije
mogu biti: polisomije (trisomije i tetrasomije) i monosomije.
Strukturne aberacije hromozoma su mutacije uzrokovane
lomovima i spajanjem odlomljenih krajeva.
Delecije (del) predstavljaju gubitak hromozomskog segmenta.
Izgubiti se može terminalni ili središnji dio kraka hromozoma (terminalna
i intersticijska delecija). Uzrokuju parcijalnu monosomiju deletiranih
lokusa. U slučaju terminalne delecije obadva kraka spajaju se slomljeni
krajevi i oblikuje se prstenasti ili ring (r) hromozom, koji ima centromeru.
Različite terminalne delecije opisane su u čovjeka i predstavljaju klinički
prepoznatljive sindrome. Primjer kariotipa: 46,XY,del(4)(p15) - Wolfov
sindrom.
Terminalna delecija

Inverzije (inv) su vrsta balansiranih
strukturnih aberacija, uzrokovanih dvostrukim lomom. Fragment između tačaka
loma okrene se za 180° i ponovno ugradi u hromozom. Inverziju obično ne
prate fenotipske promjene, no ukoliko se radi o mutacijama de novo, može
doći do promjene fenotipa. Nositelje inverzija najčešće otkrivamo kariotipizacijom
zbog poremećaja reprodukcije: spontanih pobačaja ili rođenja abnormalnog
djeteta. Ako invertirani dio hromozoma obuhvaća centromeru, inverzija
je pericentrična, a ako zahvaća dio samo jednog kraka hromozoma, inverzija
je paracentrična. Pericentrična inverzija mijenja oblik hromozoma, dok
u paracentričnoj inverziji oblik hromozoma ostaje nepromijenjen. Inverzija
ometa normalnu konjugaciju homolognih hromozoma tijekom gametogeneze te
uzrokuje stvaranje inverzijske petlje

Izohromozom (i) je tip strukturne
aberacije koja nastaje poprečnom diobom centromere. Time nastaje metacentrični
hromozom s genetičkim materijalom dva p kraka ili češće dva q kraka. Posljedica
izohromozoma su parcijalna monosomija i parcijalna trisomija jednog hromozomskog
kraka. Izohromozom je često opisan na hromozomu X, a osoba s izohromozomom
i (Xq) predstavlja prepoznatljiv Turnerov sindrom.Primjer kariotipa: 46,X,i(Xq)
INTERHROMOZOMSKE STRUKTURNE ABERACIJE
Najčešći tip interhromozomskih aberacija
su translokacije koje nastaju kao posljedica prebačaja genetičkog
materijala jednog homolognog hromozoma na drugi ili izmjene hromozomskih
fragmenata između dva i više heterologa. Razlikujemo recipročne i Robertsonove
translokacije. Robertsonova translokacija ili centrična
fuzija događa se samo između akrocentričnih hromozoma, i to između homologa
ili heterologa. Nakon lomova koji nastaju u centromeri ili blizu centromere
dolazi do spajanja q krakova akrocentričnih hromozoma, dok se p kraci
gube. Gubitak p krakova kompenzira se genima s drugih p krakova akrocentričnih
hromozoma te je stoga ova vrsta translokacija balansirana aberacija i
uglavnom nema fenotipskih posljedica za nositelja. Ukoliko ova aberacija
nastane kao svježa, u 3% slučajeva može se javiti neka veća kongenitalna
promjena.
Primjer kariotipa:45,XX,der(13;21)(q10;q10) - mirni nositelj Robertsonove
translokacije
Recipročne translokacije predstavljaju prebačaj odlomljenih hromozomskih
fragmenata između dva ili više hromozoma. Ova vrsta translokacije može
biti intersticijska ili terminalna.
Primjer kariotipa:46,XX,t(2;5)(q21;q31) - mirni nositelj recipročne translokacije
Osobe koje su nositelji Robertsonove ili recipročne translokacija mogu
pored nebalansiranih gameta stvarati i balansirane gamete te tako imati
i zdravu djecu. Stoga se tim osobama preporučuje prenatalna dijagnostika
(npr. amniocenteza). Nažalost, nositelji translokacija otkrivaju se tek
nakon više spontanih pobačaja ili rođenja malformiranog djeteta.

Aneuploidije
•Sindrom Down - trisomija 21 (47,XX,+21 ili 47,XY,+21)
•Sindrom Patau - trisomija 13 (47,XX,+13 ili 47,XY,+13)
•Sindrom Edwards - trisomija 18 (47,XX,+18 ili 47,XY,+18)
•Sindrom Klinefelter (47,XXY ili 48,XXXY)
•Dvostruki "Y" sindrom
•( 47,XYY)
•Triplo "X" sindrom
• ( 47,XXX)
•Tetra "X" sindrom (48,XXXX)
•Sindrom Turner - monosomija X ( 45,X)
•Triploidija ( 69,XXX ili 69,XXY ili 69,XYY)
•Tetraploidija ( 92,XXYY)
•Uniparentna disomija
Daunov sindrom
Daunov sindrom je
najčešća aneuplodija i javlja se s učestalošću od 1 : 770 novorođenčadi,
nešto češće u dječaka negoli u djevojčica (3 : 2). Karakterizira ga mentalna
zaostalost, a pritom stupanj zaostalosti može varirati. Postoji znatno
intrauterino i postnatalno zaostajanje u tjelesnom razvoju i rastu. Glava
je smanjena opsega, a zatiljak pljosnat. Oči su koso, "mongoloidno"
postavljene, široko razmaknute (hipertelorizam), na medijalnom očnom kutu
postoji nabor kože (epikantus), a uz obod šarenice bijele, Brushfildove
pjege. Nos je malen, široka korijena. Usta su malena, pa normalno velik
jezik često viri iz usne šupljine. U dobi od 5 do 6 godina jezik postaje
naglašeno izbrazdan (lingua scrotalis). Uške su gotovo uvijek loše formirane,
malene i nisko postavljene. Zubi su nepravilna oblika i broja, te kasno
izbijaju. Šake su široke i kratke s kratkim prstima, a česta je klinodaktilija
(nagnutost 5. prsta u radijalnom smjeru). Na dlanovima može postojati
brazda četiriju prstiju (majmunska brazda) uz izmijenjene dermatoglife.
Muskulatura je upadljivo hipotonična, a zglobovi hiperfleksibilni. Otprilike
40% djece s Daunovim sindromom
ima prirođenu srčanu manu, najčešće defekte septuma. Česte su stenoze
i atrezije probavnog trakta, te smanjena otpornost prema infekcijama.
Život je, u prosjeku, smanjen na polovicu u odnosu prema zdravoj populaciji,
a u velikoj mjeri ovisi o postojanju malformacija vitalnih organa i životnih
uvjeta. U pretpenicilinskoj eri trajanje života osoba s Daunovim sindromom
bilo je znatno kraće zbog sklonosti prema infekcijama. Djeca nikad ne
dosegnu mentalne sposobnosti zdrave djece (kvocijent inteligencije u 15.
godini iznosi samo 40 - 50), a osobito im nedostaje sposobnost apstraktnog
mišljenja. Većina djece nije sposobna za školovanje i ostaje socijalno
ovisna čitavog života.
Daunov sindrom (neke od karakteristika)

HIPOTONIJA MUSKULATURE TIPIČAN
IZGLED LICA

LOŠE FORMIRANE UŠKE JEZIK
VIRI IZ USNE ŠUPLJINE
Sindrom Patau - trisomija 13 (47, XX,+13 ili 47, XY,+13)
Patauov sindrom (Patau sa suradnicima 1960.god.) je
poslije Daunova sindroma
jedna od češćih trisomija autosoma (1 : 5000 novorođenčadi) klinički karakteriziran
vrlo teškim malformacijama mozga (arinencefalija), očiju (mikroftalmija
ili anoftalmija), rascjepima usne, čeljusti i nepca (heliognatopalatoshiza),
polidaktilijom te anomalijama srca (defekti septuma), bubrega (cistični
bubrezi, potkovasti bubrezi) i probavnog trakta (malrotacije crijeva).
Životna prognoza je loša i većina djece umire u prvim mjesecima života.
Sindrom Edwards - trisomija 18 (47, XX,+18 ili 47, XY,+18)
Prvog bolesnika s trisomijom 18 opisao je Edwards godine 1960.
Učestalost Edwardsova sindroma iznosi 1 : 5000-8000 novorođenčadi, a u
djevojčica je taj sindrom češći negoli u dječaka (4:1). Glavna su obilježja:
intrauterina distrofija (hidramnion, mala posteljica, mala porođajna težina),
kraniofacijalna dismorfija (mikrocefalija ili hidrocefalija, izrazita
dolihocefalija, mikroftalmija, loše formirane uške, malen i uzak nos,
malena mandibula, visoko nepce), kratak sternum, anomalije srca, bubrega
i probavnog trakta. Postoje i karakteristične fleksijske kontrakture prstiju
(2. prst preko 3., a 5. preko 4.), što je vrlo izraženo u prvim tjednima
života. Prognoza je također loša, i većina djece umire tijekom prve godine
života. Djeca koja žive duže obično imaju manje izražene anomalije organa,
ali imaju naglašenu mentalnu zaostalost.

Sindrom Klinefelter (47, XXY ili 48, XXXY)
Klinefelterov sindrom je bio klinički prepoznat i prije
otkrića njegova genetičkog uzroka (Klinefelter sa suradnicima, godine
1942.). Glavni su simptomi: relativno visok rast, atrofija testisa s oskudnom
ili odsutnom spermatogenezom uz očuvane Lydigove stanice, sterilitet,
ginekomastija i katkad mentalna zaostalost. Budući da u pravilu nije klinički
prepoznatljiv prije puberteta, sindrom se najčešće otkriva u muškaraca
koji se liječe od neplodnosti, a u većini slučajeva vode normalan život.
Učestalost Klinefelterova sindroma iznosi 1 : 1000 muške novorođenčadi.

Dvostruki "Y" sindrom ( 47, XYY)
Dvostruki -Y sindrom nije fenotipski jasno definiran
pa predstavlja uglavnom citogenetički pojam. Javlja se u 1 : 1000 muške
novorođenčadi, koja se većinom ne razlikuju od djece s normalnim muškim
kariotipom. Uz pojačani rast tijekom puberteta zapažaju se psihičke smetnje
u društvenom prilagođavanju i sklonost agresivnom ponašanju te mogući
infertilitet. Još je nerazjašnjeno jesu li takve osobe genetski sklone
prijestupništvu. Odgovor na to osjetljivo pitanje može imati značajne
društvene, moralne i etičke posljedice.

Triplo "X" sindrom ( 47, XXX)
Žene s triplo-X sindromom se fenotipski ne razlikuju od žena s normalnim
kariotipom, klinički su zdrave i uglavnom fertilne. Manji broj takvih
žena ima primarnu ili sekundarnu amenoreju, a neke imaju emotivne teškoće
u društvenom prilagođavanju i blažu mentalnu zaostalost. Njihova djeca
imaju najčešće normalan kariotip. Taj se sindrom otkriva najčešće slučajno,
s učestalošću od 0,8 - 1 : 1000 ženske novorođenčadi.

Tetra "X" sindrom (48, XXXX)
Tetra-X sindrom je polisomija koju karakterizira jaka
mentalna zaostalost, s koeficijentom inteligencije ispod 50% od uobičajene
za odgovarajuću dob. Trajanje života nije poremećeno. Postoji mikrocefalija,
ovalno lice, hipertelorizam, epikantus, strabizam i kratki prsti s klinodaktilijom
5. prsta. Pubertet s menarhama ne razlikuje se od onoga u normalnih osoba.
Sindrom Turner - monosomija X ( 45, X)
Turnerov sindrom je također klinički prepoznat znatno
ranije od otkrića njegova genetskog uzroka (Turner, 1932.god.), a predstavlja
gotovo jedini primjer monosomije spojive s gotovo normalnim trajanjem
života. Učestalost iznosi 1: 2500 ženske novorođenčadi, a pretpostavlja
se da se tek 1 : 40 djece s Turnerovim sindromom rađa, dok preostali bivaju
spontano pobačeni u prvim mjesecima trudnoće. Prepoznatljivi simptomi
su malena težina i dužina pri porođaju, a na licu postoji mikrognatija,
epikantus, ptoza jednog ili oba gornja očna kapka, uz loše formirane i
nisko postavljene uške. Vrat je kratak uz kožne nabore na lateralnoj strani,
koji se protežu od uha do ramena (pterigij). Kosa završava na vratu nisko
s ravnom linijom, koža je često bogata pigmentiranim nevusima. Na šakama
i stopalima novorođenčadi vide se pseudolimfatički edemi, zglobovi su
hiperelastični, a postoji izraziti cubitus valgus. Mogu postojati anomalije
srca (20%) i anomalije bubrega (40-60%). Odrasle osobe dosegnu visinu
od približno 150 cm, uz primarnu amenoreju, sterilnost i izostanak sekundarnih
spolnih oznaka. Umjesto ovarija postoje samo fibrozni tračci, a stanica
zametnog epitela nema. Psihički je razvoj normalan u većine, a u manje
od 20% djece javlja se mentalna zaostalost. Životna prognoza djeteta s
Turnerovim sindromom ovisi o postojanju i težini anomalija srca i bubrega,
a rast u visinu i fertilitet ne mogu se popraviti. Nasuprot tome, supstitucijskom
cikličkom terapijom estrogenima i progesteronom u doba inače očekivanog
puberteta, može se izazvati pojava sekundarnih spolnih oznaka, te izbjeći
pojava psihičkih smetnji i rana osteoporoza.

Triploidija ( 69, XXX ili 69, XXY ili 69, XYY)
Triploidija se u humanoj genetici susreće uglavnom prilikom citogenetičke
analize spontano pobačenih plodova. U 80% triploidija dodatna haploidna
garnitura hromozoma očeva je porijekla i dovodi do razvoja parcijalne
mole hidatidoze, vrste patološke trudnoće gdje su prisutne hidatidiformne
promjene placente. Interesantno je spomenuti da u slučaju viška majčine
haploidne garniture hromozoma ne dolazi do takve promjene placente. Ovaj
fenomen razlike u ekspresiji gena, odnosno hromozoma s obzirom na njegovo
roditeljsko porijeklo naziva se genomic imprinting. Iznimno rijetko dolazi
do rađanja djece s triploidnim kariotipom. No, budući da su simptomi dosad
opisanih slučajeva prilično karakteristični, može se govoriti o sindromu
triploidije. Karakterističan izgled lica udružen je s arinencefalijom,
heliognatopalatoshizom, očnim kolobomima, sindaktilijom 3. i 4. prsta
te mnogobrojnim anomalijama unutarnjih organa, a često je promijenjena
i placenta. Vitalnost je vrlo slaba, tako da uglavnom umiru na porođaju
ili nakon nekoliko dana.

Tetraploidija ( 92, XXYY)
Tetraploidija je među živorođenom djecom opisana u samo
nekoliko slučajeva, od kojih su sva djeca umrla odmah nakon rođenja. Karakteristična
je mikrocefalija, dismorfija lica, malformacije ekstremiteta, te anomalije
urinarnog trakta i mozga.
Uniparentna disomija
Uniparentna disomija je posebna vrsta mutacije koju karakterizira prisutnost
homolognih romozoma istog roditeljskog podrijetla u diploidnom kariotipu.
Uniparentna disomija može nastati kao posljedica oplodnje dviju aneuploidnih
gameta (jedna disomična i druga nulisomična s obzirom na isti hromozom)
ili, što je češće slučaj, kao posljedica gubitka (anafazno zaostajanje)
hromozoma vrlo rano u embrionalno doba u slučaju trisomične zigote. Nerazdvajanje
hromozoma u I mejotičkoj diobi dovodi do heterodisomije, dok nerazdvajanje
u II mejotičkoj diobi stvara izodisomiju.
PROČITAJ
/ PREUZMI I DRUGE SEMINARSKE RADOVE IZ OBLASTI:
|
|

preuzmi
seminarski rad u wordu » » »
Besplatni
Seminarski Radovi
|
|