1. ГАМЕТОГЕН ЕЗА
Развитокот на повеќеклеточниот организам обично е инфициран со
фертилизацијата на јајцеклетките од страна на сперматозоидите.
Сперматозоидот и јајцеклетката имаат одредени улоги во зачетокот
на развитокот на новата генерација. Сперматозоидот треба да бара
јајцеклетката, да се спои со неа и да ги пренесе прецизно наследените
информации кои ги носи во своето хаплоидно јадро. Од друга страна,
јајцеклетката, треба да се направи самата приемлива за спрматозоидот
како и да биде способна за соодветна реакција при нивнот контакт.
Таквио одговор им овозможува на сперматозоидите од истио вид да
се спојат со нив, додека стануваат неприменливи за сперматозоидите
од другите видови. Кога ќе настапи фузија, јајцеклетката ги остварува
своите одбранбени механизми са да се спречи фузирањето со дополнителни
сперматозоиди. Исто така, иницирани се и редица збиднувања кои
овозможуваат нуклеусот на сперматозоидот да се спои со нуклеусот
на јајцеклетката, за да се формира зигот и да се започне со покоплицираниот
процес на создавање и развиток на ембрион кој прераснува во организам
составен од многу различни типови клетки кои се организирани во
ткива и органи, овозможуваќи му на новиот организам да функционира
исто како и неговите родители. На крајот организмот е зрел кога
ќе биде способен да произведува гамети кои овозможуваат овој процес
да се повторува.
2. ООГЕНЕЗА
Една од фазите на гаметогенезата низ која се оформуваат женски
полови клетки е оогенезата. Во однос на различното формирање на
ооцитите, од настанатите оогонии, постојат различни типови оогенеза.
2.1. Типови оогенеза:
- целуларен канибализам- од порцијата оогонии
само една станува
ооцит кој е опкружен со мајчински клетки
- паноистично- panos- сите- (фоликуларно) формирање
на јајцеклетки- секој ооцит е опкружен со фоликуларни или акцесорни
клетки.
- мероистично- meros- дел; Или нутриментарно
формирање јајцеклетки- каде само дел од порцијата оогони формира
јајцеклетка.
2.2. Фази на оогенезата
Гаметите потекнуваат од примордијалните герминативни клетки.
Овие клетки се распоредени екстраембрионално. Кај птиците се сместени
на крајот од каде ќе се формира главата, а кај цицачите на основата
на алантоисот, зад задниот крај на организмот.
Бидеќи се наоѓаат далеку од местото каде се одвива нивниот понатамошен
развиток, примордијалните геминативни клетки патуваат пасивно-
преку крвотокот и активно преку амебовидно движење, за да стигнат
до местото каде ќе се оформат гонадите- герминативната бразда.
Со навлегувањето на примордијалните герминативни клетки во гонадите,
истите преминуваат во примарни герминативни клетки (гоноцити).
Кога гонадите ќе станат јајчници, гоноцитите се претвораат во
примарни оогонии. Ваквиот тип клетки ја претставуваат основата
за производство доволен број гамети за целиот живот и затоа тие
се делат по пат на митоза, со што енормно го зголемуваат почетниот
брј. Бројот на овие клетки кај луѓето се движи од 700- 1700 гоноцити,
па до околу 600.000 примарни оогонии до осмата недела од гестацијата
и до 6.800.000 оогонии во текот на петти месец. По комплетирањето
на клеточната делба по пат на некомплетна цитокинеза, се формираат
секундарни оогонии кои создаваат гнезда и се поврзани една со
друга со мостови. Зависно од видот, постојат и различни типови
оогенеза па така, оогониите се трансформираат во ооцити или симултано
(поноистично), или постепено во текот на животот (мероистично).
Кај цицачите во текот на животот не постојат оогонии.
Кога оогонијата ќе навлезе во предмејотската интерфаза, таа преминува
во ооцит. Кај вертевратите, во овој периот предмејоттските ооцоти
се опкружени со фоликуларни клетки кои се униламинарни, т.е. во
еден слој и формираат примордијален фоликул.
Ооцитот во текот на првата меотска делба е наречен примарен ооцит.
Со завршувањето на првата меотска делба во текот на оогенезата
се добива еден секундарен ооцит (кој понатаму навлегува во втората
меотска делба) и едно поларно телце (полоцит) кое е нарачено примарно
поларно телце. На крајот на меозата се добива една зрела јајце
клетка и едно секундарно поларно телце (со делба на секундарниот
ооцит) и уште две поларни телца (со делбата на примарното поларно
телце).
3. ФОЛИКУЛОГЕНЕЗА
Folliculus (лат.) означува мала творба или меурче. Фоликул претставува
епителна капка течност во која се наоѓа јајцеклетката обиколена
со базална ламина.
- примордијални фоликули- содржат предмејотски
ооцити и се со големина од 30џт главно во dictyate фазата и обиколените
фоликуларни клетки во еден слој. Сите фоликули кај цицачите се
во оваа фаза.
- примарни фоликули- клетките околу примордијалниот
фоликул се здебелуваат, стануваат кубични и кога ќе се акумулираат
дополнителни клетки на ѕидот на фоликулот, тогаш, тој фоликул
е наречен ран примарен фоликул.
- Кога оригиналниот еднослоен епител се трансформира во
повеќеслоен кубичен епител- фоликулот е познат како доцен
примарен фоликул. Во текот на развитокот на доцниот примарен фоликул
се вметнува една творба наречена zona pellucida, покасно фолукуларните
клетки и вителниот простор на ооцитот на самиот фоликул се здебелува.
- Секундарни фоликули- везикуларни или антрални.
Овие фоликули содржат шуплина или антрум која е исполнета со т.н.
позитивен матреијал. За раст на фоликулот потребна е симулација
со FSH. Во текот на развитокот антрумот се исполнува со течност
која е помалку PAS позитивна.
- Терциелни или зрели Графови фоликули- антрумот
сега е дооформиран исполнет со фоликуларна течност. По ѕидот на
фоликулот се формираат гранулозни клетки, а околу ооцитот се формира
брдо клетки кое го подржува ооцитот и е познат како кумулусна
маса или cumulus oophorus.
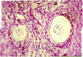
На Сл. 1 ни е прикажан хистолошки пресек на јајчник
На хистолошкиот преглед на пресекот на јајчниците под мало зголемување
се набљудуваат ооцити од прв ред во различен степен на раст и
фоликули во различни фази на развиток. Фоликулите од различните
фази ги разликуваме според изгледот на ѕидот на истите, како и
според големината. Примарните фоликули се мали, опкружени со еден
или повеќе слоеви фоликулински клетки, а во нивната внатрешност
нема празнина. Ооцитот во овие фоликули не содржи zona pellucida.
Секундарниот фоликул има мала празнина која го одвојува ооцитот
од фоликулинскиот ѕид, кој е составен од повеќеслоен кибичен епител.

Сл. 1: Шематски приказ на хистолошки пресек на јајчник
R.P.f. Ран примарен фоликул, D.P.f. Доцен примарен фоликул S.f.
Секундарен фоликул, T.f. Терциелен фоликул (Графов фоликул), С.а.
Corpus Ibicans, A.f. Атретични фоликули, C.L. corpus luteum, G.e.
Геминативен епител (Стрелката го покажува временскиот тек на фоликулогенезата).
Во терциелниот фоликул празнината добро ја исполнува внатрешноста
на фоликулот, ооцитот е поместен странично кон ѕидот на фоликулот,
а со слојот кој го обвиткува е поврзан со еден мост фоликулински
клетки кои се наречени кумулусни клетки. Целиот комплекс е наречен
кумулус оофорус комплекс.
Сл. 2: Примарни фоликули во јајчникот од жена:
1- примарни фоликули кои содржат ооцити од I ред; 2- Герминативен
епител; 3. Секундарен фоликул; 4. Терциерни фоликули.
Сл. 3: Секундарен фоликул во јајчникот

Сл. 4: Терциерен фоликул: 1 - ооцит од I ред;
2 - zona pellucida; 3 -cumulus oophorus; 4 - antrum folliculi;
5 - гранулозни клетки.
За добивање на незрели јајцеклетки се аспирираат фоликули со големина
од 2 до 8 џт. Аспирацијата на фоликулите се врши со шприц од 20ml.
на кој има игла од 18 Г. За правилна аспирација потребно е иглата
да ја ставиме на неколку милиметри пред фоликулот кој сакаме да
го аспирираме, плитко ја забодуваме, па така ја движиме кон фоликулот
постепено повлекуваќи на клипот од шприцот. Откако ќе ги аспирираме
сите фоликули, содржината од шприцот ја истураме во петриевата
шоља и пребаруваме за присуство на јајцеклетки. Јајцеклетките,
во однос на останатото ткиво, се познават по својот изглед, при
што се гледа јајцеклетката обвиткана со кумулусна маса, која е
потемна и скоро потполно ја покрива јајцеклетката која одвај се
забележува под овој слој (сл. 5)
4. ЗРЕЕЊЕ НА ЈАЈЦЕКЛЕТКИТЕ
Првата фаза на предовулаторната матурација (зреење) на ооцитот
е слична на преминот од G- 2 фазата во М фазата на обичниот клеточен
циклус. Во оваа фаза настанува репликација на ДНК и одвојување
на генетскиот материјал, со што клетката станува способна за делба
МЕЈОЗА- meiosis- редукција- намалување
Мејозата се карактеризира со две делби на јајцеклетката, кои брзо
протекуваат една по друга: меотска и екватациона. Првата и втората
делба во текот на мејозата се одвиваат во исти фази како и митозата
(профаза, метафаза, анафаза и телофаза). Важна особина на првата
профаза е што таа трае многу подолго од сите останати фази, во
неа се случуваат најкарактеристичните промени за мејозата и е
поделена во пет етапи: лептотен, зиготен, хитен, диплотен и дијакинеза.
I лептотен- (leptos- тенок, малечок). Хромозомите
во оваа фаза се во вид на тенки единечни врвки и започнуваат да
се спирализираат.
II зиготен- (zygote- дуплирање). Во оваа етапа
настануваат бивалентни или двојни хромозоми. Тие настануваат со
спојување на по два хомологни хромозоми. Ваквиот процес на здружување
претставува многу прецизен механизам тка што само соодветните
делови на едниот хромозом се спојуваат со соодветните од хомологниот
хромозом.
III пахитен- (pachys- дебел). Во оваа фаза хромозомите
се здебелуваат и се спојуваат меѓусебно по целата нивна должина.
Подоцна, настанува надолжно цепење на хомологните хромозоми во
бивалентните (хромозомите се одделуваат на хроматиди) така што
настануваат тетради.
За време на пахитен- од, настанува размена на генетскиот материјал
помеѓу хроматидите на тетрадата што е попознато како crossing-
over.
IV диплотен- (diplos- двоен). Претставува процес
на раздвојување на бивалентите кој остануваат вкрстени само во
хиазмата. Оваа етапа од првата профаза е позната по своето долго
траење, за кое време ооцитите растат. Временски понекогаш оваа
етапа може да трае и со месеци, па дури и со години. Во литературата,
оваа подфаза е попозната како дифузен диплотен или dyctiate фаза.
V дијакинеза- (dias- двоен; kinesis- движење).
Во оваа етапа хромозомите се скратуваат и стануваат покомпактни.
Краевите им се одделуваат од јадровата мембрана. Овој стадиум
е најдобар за пребројување на хромозомите. Јасно се гледаат двојките
сестрински хроматиди кои се сврзани со центромерот, а несестрински
со хијазми.
Првата профаза зазема 90% од целиот мејотски циклус. Во неа клетката
може да остане неколку денови, месеци или години. Тоа зависи од
видот на животното, т.е. од местото на организамот во еволуцискиот
развиток на видовите. Јадровата обвивка останува интактна во текот
на профазата и исчезнува дури со започнувањето на формирањето
на делбеното вретено, т.е. во почетокот на првата метафаза.
- Метафаза I - хромозомите се екваторијално распоредени
во однос на делбеното вретено, кое се формира од центриолите.
Делбеното вретено се формира во текот на придвижувањето на центриолите
кон половите.
- Анафаза I - започнува разделување на бивалентните
хромозоми кон двата пола (вегетативен и анимален). Делбата на
хромозомите настанува со делба на несестринските хроматиди, додека
врската помеѓу сестринските се уште се задржува. Со тоа, за разлика
од обичната митоза, во првата мејотска делба кон двата пола наместо
поединечни хроматиди, мигрираат цели хромозоми по потекло од таткото
или од мајката, поради што се создаваат генетски нееднакви клетки
ќерки.
- Телофаза I - завршува со создавање на две нови
клетки- ооцит од II ред и примарен полоцит (или прво поларно телце),
кои содржат хаплоиден број хромозоми
кои се сврзани со центромерот. Во текот на сперматогенезата се
добиваат две еднакви клетки-сперматоцити од II ред или пресперматиди.
Сл. 6: Шематски приказ на фазите на мејозата
(во текот на оогенезата). Во сперматогенезата фазите се еднакви
со таа азлика што сите се одвиваат во постнаталниот период и добиените
клетки се со еднаква големина.
Втората мејотска делба е процес на обична митотска делба на ооцитот
од II ред (сперматоцитот од II ред) која започнува веднаш по првата
мејотска делба, без интерфаза. Поради тоа што недостасува интерфазата,
нема удвојување на гените пред почетокот на втората мејотска делба.
И втората мејотска делба поминува во истите фази како и првата
(Профаза II, Метафаза II, Анафаза II и Телофаза II).
Профазата II се одвива сосема кратко и во неа
се вршат само некои подготовки за следните фази.
Во метафазата II хромозомите се распоредени во
екваторијалната рамнина, со таа разлика што сега имаме само половичен
број хромозоми, во однос на првата метафаза.
Анафазата II е карактеристична за митозата, така
што сега хромозомите се одделуваат на хроматиди и секој хроматид
почнува да патува кон еден од половите.
Телофазата II означува само формирање на две
нови клетки кои ќе имаат хаплоиден број хроматиди во своите новоформирани
јадра.
Тоа значи дека по завршувањето на оваа делба ќе се добијат клетки
ќерки кои содржат хаплоиден (половичен) број хроматиди
во однос на клетката мајка. Единствена разлика помеѓу втората
мејотска делба и митозата (барем што се однесува за оогенезата)
е во тоа што на крајот се добиваат клетки со нееднаква големина
и тоа: една зрела јајцеклетка и едно второ поларно телце (секундарен
полоцит).
На крајот од мејозата (во текот на оогенезата) се добиваат 4 женски
полови клетки и тоа 3 полоцити и 1 зрела јајце клетка. Сите овие
клетки можат да се оплодат, меѓутоа полоцитите не можат да се
развиваат поради слабото количество жолточна маса. Во текот на
сперматогенезата се добиваат 4 сперматозоиди кои понатаму продолжуваат
со дооформување, за да станат зрели сперматозоиди.