POCETNA STRANA

Seminarski i Diplomski Rad
 
SEMINARSKI RAD IZ VETERINE
 

Infektivna anemija kopitara

Infektivna anemija kopitara (IAK) ,još poznata kao „močvarna groznica“, je infektivno oboljenje konja i ostalih ekvida koga karakterišu: povratna groznica, letargija, inapatenca, trombocitopenija i anemija. Klinički znaci IAK su prvi put opisani u Francuskoj

1843.godine,dok je 1904.godine dokazano, od strane naučnika Carré i Vallée ,da je uzročnik infektivne anemije kopitara„filtrabilan agens“(2,7). IAK je jedna od prvih bolesti životinja za koju je potvrđena virusna etiologija. Sledećih 60 godina je došlo do mnogih saznanja o epidemiologiji, patologiji i kliničkim osobinama infektivne anemije kopitara. Međutim, mali progres je napravljen u patogenezi i imunologiji, zato što se virus nije mogao preneti na druge životinje (izuzev kopitara) i nije se mogao kultivisati in vitro uslovima. Tek 1967. godine je dokazano da se virus može razmožavati na kulturi konjskih leukocita. Nakon ovih naučnih dostignuća došlo je do novih saznanja o interakciji virusa sa domaćinskih ćelijama i imunopatogenezi infektivne anemije kopitara (7). Iako danas imaju mali značaj,važno je napomenuti činjenicu sa neki stariji podaci iz literature spominju činjenicu da se virus IAK može razmožavati u ograničenoj meri u ovci, kozi, svinji i kuniću ,pa i čoveku,ali kao što je rečeno, danas se mnogi ne slažu sa tim (3). Tek 1970. godine virus IAK je klasifikovan i svrstan u familiju Retroviridae i podfamiliju Lentivirinae zajedno sa Maedi visna virusom i virusom artritisa i encefalitisa koza. Daljim otkrićem virusa HIV-a (humani imuodeficijentni virus) i njegovom klasifikacijom u lentiviruse došlo je do naglih i serijskih lentivirusa životinja,kao što su virus goveđe imunodeficijencije i virus imodeficijencije mačaka.(1)
Cilj rada je da detaljno, zatim na jasan i koncizan način prikaže najnovije inostrane i domaće podatke o rasprostranjenosti, epizootiologiji, etiologiji, imunopatogenezi, klinici, patologiji, dijagnostici i profilaksi infektivne anemije kopitara.

POJAVLJIVANJE I RASPROSTARNJENOST

Infektivna anemija kopitara predstavlja oboljenje konja,mula,magaraca i zebri koje se pojavljuje u celom svetu.Pošto se IAK najčešće širi pomoću vektora, odnosno insekata, bolest se češće pojavljuje u regionima sa toplijom klimom. (8) IAK se često pojavljuje Južnoj i Severnoj Americi,Africi,Aziji, Severnoj i Južnoj Evropi,dok je pojavljivanje u Srednjoj Evropi retko i sporadično (Slika 1).

Pojavljivanje IAK-a u svetu

Slika 1: Pojavljivanje IAK-a u svetu za vreme druge polovine 2010 godine (6)

U Brazilu,stopa pojavljivanja IAK je čak do 50%. U SAD prevalenca pojavljivanja infektivne anemije kopitara se kreće od 3,09% za vreme 1972.godine pa do 0,01% za vreme 2003 godine.Najveća zastupljenost bolesti u SAD je u regionu meksičkog zaliva koja iznosi od 11,08% (1972.godina) do 0,03% (2003.godina) (7).

Broj pozitivnih testova za IAK u SAD

Slika 2: Broj pozitivnih testova za IAK u SAD za razdoblje 1972.-2003. godinu (7)

U Evropi IAK se pojavljuje često u Italiji i Rumuniji. Ostale zemlje koje su posle 2009. godine prijavile IAK su: Francuska, Belgija, Grčka, Slovenija, Velika Britanija i Hrvatsk

U Evropi IAK se pojavljuje cesto u Italiji i Rumunij

(Slika 3). Od 2007. godine kada je Rumunija pristupila EU (Evropska unija) prijavljeno je u ovoj zemlji preko 1000 slučajeva IAK. U Nemačkoj je u razdoblju 1996-2005 prijavljeno samo nekoliko slučajeva IAK,dok se posle 2006 godine bolest javlja često. Tako je samo 2010. godine prijaljeno 26 slučajeva infektivne anemije kopitara u ovoj zemlji (6).

U bivšoj SFRJ bolest je prvi put zabeležena 1934.godine u hrvatskoj ergeli „Stančić“ (8).

U Srbiji se povremen zapaža u vlažnim močvarnim predelima,duž reka ili šumskim predelima(9). U 2001. godini, na osnovu obaveznog obaveštavanja o pozitivnoj dijagnostici zaraznih bolesti od strane nadležnih veterinarskih specijalističkih instituta, primećeno je prisustvo 25 pozitivnih grla na Infektivnu anemiju kopitara u okolini Subotice (10). Po podacima veterinarskog institute “ Dr Vaso Butozan” u Republici Srpskoj od ukupno pregledanih konja čak je 16% bilo pozitivno na IAK za godine 2008 i 2009 (11)

EPIZOOTIOLOGIJA

Od ove zaraze su najviše ugrožene ergele konja s obzirom da latentno inficirana grla predstavljaju veliku opasnost za njeno šierenje, ovo pogotovu u slučajevima mešanja životinja iz raznih krajeva (trgovina,sajmovi,konjske trke,smotre itd.) Pošto se virus nalazi u krvi,infekcija može da nastane intrauterine,preko mleka,koitusom,maleinizacijom,cepljenjem,hirurškim zahvatima, upotrebom konjskog seruma itd. Pored izrazite infektivnosti bolest se ograničava na neka područja. (8). Transplacentalna infekcija je retka i dešava se samo u onim slučajevima kada majka stvori jak titar virusa u krvi (viremija), odnosno kada boluje od akutnog oblika bolesti. Važno je napomenuti da se IAK može prenositi jatrogenim putem,tj.transfuzijom krvi od inficranih životinja, jer je zapaženo da virus može preživeti više od 4 dana na iglama držanim na sobnim temperaturama (7).

Krv inficiranih konja predstavlja najvažniji izvor virusa IAK za prijemčive konje i kopitare.

Transfer virusa od krvi preko insekata koji se hrane krvlju predstavlja najvažniji put u transmisiji virusa među kopitarima. Pošto se virus ne umnožava u ćelijama insekata,tako da oni služe kao mehanički prenosioci virusa, i to preko svojih usnih aparata . Najvažniji insekti,vprenosioci virusa su vrste iz familije Tabanidae: Tabanus fuscicostatus i Stomoxys calcitrans. S. calcitrans imaju manju ulogu i nisu efikasne kaotabanide u prenošenju virusa u prirodnim uslovima. (7)

Glava i usni aparat Tabanus fuscicostaus-a

Slika 4: Glava i usni aparat Tabanus fuscicostaus-a (7)

Postoji nekoliko faktora od kojih zavisi transmisija virus IAK. Naime,konji sa većim titrom viremije i kliničkim znakovima lakše će da služe kao izvor infekcije od konja koji pokazuju inaparentnost. Način hranjenja i populacija insekata takođe ima ulogu u izbijanju infekcije i nastajanju bolesti. Mnoge studije su pokazale da komarci ne prenose virus IAK. Dalje se smatra da distanca između inficiranog kopitara i prijemčive životinje može da ima ulogu u nastanku u i širenju bolesti, tako ako je udaljenost između dve životinje veća od 48 m 99% konjskih muva (Tabanus fuscicostatus) će se vratiti na inicijalnog konja,a da ne napada prijemčivu životinju (7)

ETIOLOGIJA

Virus IAK spade u lentiviruse ,odnsno familiju Retroviridae i srodan je sa drugim lentivirusima kao što su: Maedi visna virus (MVV), caprine arthritis-encephallitis virus (CAEV),bovine immunodeficiency virus (BIV),feline immunodeficency virus (FIV),simian immunodeficency virus (SIV) i human immunodeficiency virus (HIV). Svi lentivirusi stvaraju perzistentneinfekcije, i većina lentivirusa stvara spore, progresivnie infekcije koje uglavnom zavrsavaju smrću. Virus IAK poseduje jednostavni RNK genom koji je dug samo 8 Kb. U sastav genoma ulaze osnovni geni (gag,pol,env) i tri regulatorna gena koja su važna za virusnu replikaciju i patogenezu. Gag gen kodira strukturne proteine koji su potrebni za inkapsidaciju genoma.Ovi protein ulaze u sastav nukleokapsida (p11),kapsida (p26) i matriksa (p15). Pol gen kodira reverznu transkriptazu,dok env gen kodira površinski (gp 90) i transmembranski (g45) glikoprotein. Replikacija virusa u ćeliji je slična ostalim virusima iz familije Retroviridae (2).

Virioni se sastoje od jezgra i spoljašneg omotača. Jezgro je valjkasto ,a oko njega se nalazi spoljašni omotač po kome se nalaze mali produžeci – glikoproteini (3).

Naime, površinski glikoprotein virusa (gp 90) se vezuje za poseban receptor koji se naziva

ELVR-1 (Equine lentivirus receptor 1) koji spade u porodicu TNF (Tumor necrosis factor ) citokina (7) Virus inicijalno napada makrofage (2). Nakon vezivanja za površinu ćelije virus penetrira u citoplazmu dolazi do svlačenja kapsida i internalizacije viriona. Replikacija virusa počinje stvaranjem duple DNK uz pomoć reverzne transkriptaze koju kodira env gen. Tada se virusna DNK translocira u jedro i pomoću intergraza inkorporiše u DNK domaćina u obliku provirusa. Nakon integracije u genom domaćina sa genoma provirusa ,odnosno njegove DNK se prepisuju geni u formi iRNK koja nosi nformaciju za translaciju proteina virusa koji će da se ugrade u novonastalu virusnu RNK. Tada virioni ćeliju napušta pupljenjem i maturira (7).

Virus IAK je vrlo otporan. Osušen, u krvi u spoljnoj sredini može da zadrži virulentnost nekoliko meseci, ako je zaštićen od direktne sunčeve svetlosti.Inaktivišu ga fenol, formalin i drugi dezificijenski kao i rastvarači masti. Virus ima slab citopatogeni efekat (3)

Slika 5: Građa virusa infektivne anemije kopitara (2)
Grada virusa infektivne anemije kopitara

PATOGENEZA

Infekcija kopitara sa virusom IAK dovodi do različiti kliničkih i patoloških promena kao što su: groznica,letargija,inapatenca,trombocitopenija, anemija, splenomegalija, hepatomegalija,gubitak težine, limfadenopatija, edema i hemoragičnih dijateza. Virus inicijalno inficira makrofage i to posebno one koje se nalaze u slezini. Iako su inficirani i monociti koji se nalaze u krvi,predominatno mesto replikacije su zreli, tkivni makrofagi koji služe kao izvor za stvaranje viremije prilikom akutne faze bolesti. Slezina sadrži najveću količinu replicirajućeg virusa,ali se on može dokazati i u jetri, kostnoj srži, limfnim čvorovima, plućima, nadbubrežnoj žlezdi , bubrezima i mozgu. Endotelne ćelije takođe mogu biti inficirane navedenim virusom (7). Tačan mehanizam nastanka anemije i trombocitopenije je nepoznat, vaskulitis i glomerulonefritis prilikom kod inficiranih infekcija može se objasniti taloženjem imunih kompleksa (virusni antugen-antitelo) koji su nastali usled perzistentne infekcije (2). Upravo infekcija i liza makrofaga kao i nihovo taloženje u obliku imunih kompleksa čini osnovu imunopatogeneze IAK. Prilikom infekcije virusom IAK dolazi do povećane produkcije TNF-a, IL-1 i IL-6 koji dovode do febre, letargije i inapatence ,posebno kod akutnog oblika IAK (7).

Trombocitopenija je jedan od ranih patoloških znakova IAK koja je multifaktorijalne prirode.

Povećana količina trombocitno-vezujućih IgM i IgG prilikom infekcije virusom IAK dokazuje da je trombocitopenija uzrokovana imunološkim mehanizmima. Zatim dolazi do povećanja citokina TNF-ɑ i TGF-β i interferona gama uzrokuju trombocitopeniju i in vitro inhibiciju megakariocitozem (7)

Anemija je konstantan znak infekcije virusom IAK. Uzrok anemije je multifaktorijalan i uglavnom dolazi do lize eritrocita kao i inhibicije hematopoeze i skraćivanja života eritrocita između 28 i 72 dana. Dolazi do intravaskularne, kao i do ekstravaskularne hemolize eritrocita. Hemaglutinin subjedinica virusa IAK se hvata za eritrocite koji bivaju uhvaćeni antitelima za koje se veže C3 komponenta komplementa, koji na kraju izaziva hemolizu. Eritrociti mogu da vežu virus –antitela imune komplekse. Mehanizam supresije hematopeze je nepoznat, ali se smatra da je povezana sa proinflamatornim citokinima (7).

Hemoragije su najverovatnije posledica trombocitopenije (2).

KLINIČKA SLIKA

Klinički znaci i simptomi IAK su varijabilni i zavise od doze i virulencije virusa kao i od prijemčivosti životinja (7). Bolest je opisana u tri klinička oblika: akutnom,subakutnom i hroničnom. Posledni oblik je u stvari subklinički –životinje ne pokazuju simptome iako u sebi nose virus (9).

  1. Akutna IAK nastaje posle infekcije sa visoko-virulentnimsojem virusa IAK. Kliničkisimptomi nastaju posle 5-30 dana kada se istovremeno razvija jaka viremija, febra, trombocitopenija i inapatenca. Inicijalna febra se uglavnom smanjuje posle nekoliko dana, iako neki kopitari mogu da razviju fatalnu formu,sa perzistentnom viremijom,teškom anemijom i sa jakom infiltracijom virusa u unutrašnje organe(7). Izraženi znaci se pojavlju kod akutne IAK. Velika potištenost,temperatura 40-42C, poliurija,proteinurija,edem konjuktiva i potkožnog tkiva,brzo mršavljenje i opšta slabost. Obolele životinje uginjavaju za 8 dana (4) Za akutnu formu IAK je karakteristično petehijalno krvarenje ispod jezika,kao i po sluzokožama i konjuktivi. (8)
  1. Kod subakutne forme IAK se mogu zapaziti slični simptomi koji traju nekoliko nedelja,sa pojavama remisija i isto tako sa znacima poboljšanja (4). U kasnijem toku posle 30 dana javljaju se tipični simtomi za IAK: anemija, ikterus, edemi po ekstremitetima i ventralnom abdomenu, intermitentna groznica i gubitak telesne mase (9).

Vremenski interval između pojave kliničkih simtoma verira do nekoliko nedelja i uvek je praćen pojavom trombocitopenije (7)

  1. Hronični oblik IAK traje mesecima ili jos duže vremena pa je takva životinja uglavnomsa uznapredovalim znacima anemije i intermitujuće anemije.Kod ovih životinja se javlja latentna infekcija (4).Životinje sa hroničnom IAK se označavaju kao „ swamper“ . Kod ove forme mogu da se razviju i neurološki simptomi koji uključuju ataksiju i znake encefalitisa. Kobile mogu da pobace ili da na svet donesu slabo vitalnu ždrebad (7).

Manje su uočene kolike (9). Mnoga inficirana grla ne pokazuju znake IAK već se kod takvih životinja IAK otkrije slučajno dok se vrše obavezna serološka i rutinska kontrola na ovu bolest (7). Ove životinje ostaju potencijalan izvor infekcije i nosioci virusa (9).

Hronicni oblik infektivne anemije kopitara

Slika 6: Hronični oblik infektivne anemije kopitara -zapaziti slabost i keheksiju (7)

PATOLOŠKI NALAZ

Obdukcijski se na lešu obično konstatuje slaba uhranjenost uginule životinje. Krv je retka,vodenasta bledo crvene boje. Iste boje su sluznice i seroze, manje ili više nijansirane sa ikteričnim tonom. Hidropsija je izražena u subkutisu,subserozama,jetri, bubrezima i plućima,razume se u vidu serozne infiltracije, odnosno edema.Otkrivaju se petehijalna krvarenja po sluzokožama.

Slezina je pri akutnom toku jako povećana,teška ponekad 10-12 kg,zategnite i petehijalnohemoragične kapsule. Na preseku se istiće hiperplastičan zrnast izgled i crvena maslinasta boja. Histološki se zapaža hemosideroza.

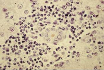
Hiperplazija folikula slezine

Slika 7: Hiperplazija folikula slezine (6)

Limfni čvorovi supovećani,otekli usled folikularne i limforetikularne hiperplazije na presekuprugasto-crvenkastog izgleda.

Jetra. Na jetri su promene najmarkantnije. Inače jetra je 2-3 puta povećana,smeđe-crveneboje,šarolikog izgleda (hepar moschatum) . Histološki se kontatuje Kupferove ćelije koje su povećane i pune hemosiderina. U portalnim sudivima se zapažaju limfociti.U centralnim lobulusima se zapažaju distrofične promene usled hipoksije. S tim u vezi se zapaža histiocitna i endoteliozne promene koje se završavaju cirozom.

Periportalna akumulacija Kupferovih celija u jetri

Slika 8: Periportalna akumulacija Kupferovih ćelija u jetri (7)

Kostna srž je makroskopski nepromenjena. Mikroskopski se zapaža infiltracija histiocita ilimfocita.

Pluća su bez većih promena,sem povećanog obima –volumen pulmonu auctum- koji nastajeusled povećanog disanja. Hronične oblike karakteriše krvarenje u bronhijama kao i infltracija limfocita.

Bubrezi su uglavnom povećani sa petehijalnim diseminovanom krvarenjimau kortikalnom sloju.(8) Kod hroničnog oblika se zapaža intersticijalna inflitracija mononuklearnih ćelija (5)

CNS. Zapažaju se promene koje odgovaraju encaphalomyelitis non purulenta. (8)

Srce. Zapaža se atrofija miokarda u hronični slučajevima iintersticijalni edem sa limfocitnominfiltracijom u akutnom obliku bolesti (5).

DIJAGNOZA

Na IAK se može posumnjati kada životinje pokazuju povratne groznice, trombocitopenije, anemije, petehijalniha krvarenja, gubitak težine i ventralne edeme. Mnogi konji ne pokazuju znake IAK (7). U subakutnom i hroničnom stadijumu se zapaža veliko smanjenje hematokrita-broj eritrocita spada uglavnom ispod 1,5 x 1012/l. Combsov test je u ovoj fazi uglavnom pozitivan. Biohemijskim pegledom može se ustanoviti hipergamaglobunemija, povećanje serumskih enzima jetre i proteinurija (9).

Definitivna dijagnoza se postavlja serološkim ispitivanjima. Pošto je IAK perzistentna infekcija upotreba seroloških metoda je visoko indikovana. Danas se koriste uglavno četiri serološke metode: agar-gel imunodifuzija (AGID), cELISA,VIRA CHECK ELISA i SA ELISA II. AGID test ,još poznatiji kao Cogginsov test detektuje antitela za g26 antigen virusa IAK (7) Cogginsov test je najosetljivija i najspecifičnija metoda, (9) sa tačnošću od 98% (6).

Test može da bude lažno negativan ko akutne IAK i kod ždrebadi koja su dobila kolostrum od inficiranoh kobila (9).

Real Time PCR mogu da detektuju nizak nivo virusne RNK krvnom serumu (7).PCR ne spada u rutinske metode koje se koriste za dijagnostiku IAK (6).

PROFILAKSA

Efikasna terapija ne postoji. Zbog toga se suzbijanje bolesti reguliše posebnim merama koja predviđaju periodična ispitivanja. Svaki konj sa pozitvnim Cogginsovim testom treba da bude eutanaziran (9).Treba posebno voditi računa pri kupovini konja sa područja gde je dijagnostikovana IAK(4).Kontrola može da varira između država,ali se konji i ostali ekvidi moraju da testiraju na IAK u slučajeviima kada se :

konji uvoze u državu;
konji odvode na takmičenja i egzibicione igre
konjima menja vlasnik
konji ili ostali ekvidi odvode na aukcije i pijace za prodaju stoke.

Kada je neko grlo pozitivno na IAK stavlja se u karantinu i podleže daljim istragama. Ekvidi kod kojih je potvrđena IAK se nazivaju „reaktori“ i svi konji koji se nalaze 180 m oko

reaktora“ se smatraju potencijalno inficiranim i podležu testovima za IAK. Testiranja se izvode u intervalima od 30-60 dana i karantin se ukida kada su svi konji negativni 2 meseca nakon eutanazije poslednjog reaktora iz karantine. Grla kod kojih je potvrđena IAK, odnosno

„reaktori“ , se posebno označavaju (Slika 9)i na kraju eutanaziraju. Imunoprofilaksa nijezaživela, iako se radilo o mogućnosti razvijanja ovakve vakcine (7).

„Reaktor“ sa posebnim oznakama koje se dobijaju u karantini

Slika 9: „Reaktor“ sa posebnim oznakama koje se dobijaju u karantini (7)

LITERATURA:

  1. Craigo J., Montelaro R (2011) EQUINE INFECTIOUS ANEMIA VIRUS INFECTION AND IMMUNITY: LESSONS FOR AIDS VACCINE DEVELOPMENT, Futyre virology 6, 139-142
  1. MacLachlan J., Dubovi E. (2011) Fenner’s veterinary virology, Elsevier Inc, London
  1. Mihajlović B (1987) Mikrobiologija III –Rikecije i virusi,Naučna knjiga ,Beograd
  1. Lapčević E, 1978. Bolesti konja, Naučna knjiga,Beograd
  1. Maxie G. (2007) Jubb,Kennedy and Palmer’s Pathology of domestic animals.In: V.E.O Valli (contributor) Hematopoetic system, Saunders Ltd ,New York,pp 109-323
  1. Probst C, P. König, J. Gethmann, D. Höreth-Böntgen, C. Staubach, F. J. Conraths, M. Kramer (2010) Ansteckende Blutarmut der Einhufer, Deutsches Tierärzteblatt 12,1598-1605
  1. Sellon D.,Long M. (2007)Equine infective disease. In: Mealey R. (contr.) Equne infective anemia,Saunders Ltd, Missouri,pp 213- 219
  1. Sofrenović Đ.,Knežević N (1994) Osnovne patološke karakteristike važnijih infektivnih bolesti domaćih životinja. OZID ,Beograd
  1. Trailović D. (2011) Bolesti kopitara, Naučna KMD, Beograd
  1. Trailović D, Urošević M,Debeljak Z,Grgić M, Gagračin M (2002) Aktuelna problematika infektivnih oboljenja konja na području Vojvodine,Savremena poljoprivreda 51, 315-318
  1. www.virsb.com

Autor: Oliver Stevanović

PROČITAJ / PREUZMI I DRUGE SEMINARSKE RADOVE IZ OBLASTI:
ASTRONOMIJA | BANKARSTVO I MONETARNA EKONOMIJA | BIOLOGIJA | EKONOMIJA | ELEKTRONIKA | ELEKTRONSKO POSLOVANJE | EKOLOGIJA - EKOLOŠKI MENADŽMENT | FILOZOFIJA | FINANSIJE |  FINANSIJSKA TRŽIŠTA I BERZANSKI    MENADŽMENT | FINANSIJSKI MENADŽMENT | FISKALNA EKONOMIJA | FIZIKA | GEOGRAFIJA | HEMIJA I INFORMACIONI SISTEMI | INFORMATIKA | INTERNET - WEB | ISTORIJA | JAVNE FINANSIJE | KOMUNIKOLOGIJA - KOMUNIKACIJE | KRIMINOLOGIJA | KNJIŽEVNOST I JEZIK | LOGISTIKA | LOGOPEDIJA | LJUDSKI RESURSI | MAKROEKONOMIJA | MARKETING | MATEMATIKA | MEDICINA | MEDJUNARODNA EKONOMIJA | MENADŽMENT | MIKROEKONOMIJA | MULTIMEDIJA | ODNOSI SA JAVNOŠĆU |  OPERATIVNI I STRATEGIJSKI    MENADŽMENT | OSNOVI MENADŽMENTA | OSNOVI EKONOMIJE | OSIGURANJE | PARAPSIHOLOGIJA | PEDAGOGIJA | POLITIČKE NAUKE | POLJOPRIVREDA | POSLOVNA EKONOMIJA | POSLOVNA ETIKA | PRAVO | PRAVO EVROPSKE UNIJE | PREDUZETNIŠTVO | PRIVREDNI SISTEMI | PROIZVODNI I USLUŽNI MENADŽMENT | PROGRAMIRANJE | PSIHOLOGIJA | PSIHIJATRIJA / PSIHOPATOLOGIJA | RAČUNOVODSTVO | RELIGIJA | SOCIOLOGIJA |  SPOLJNOTRGOVINSKO I DEVIZNO POSLOVANJE | SPORT - MENADŽMENT U SPORTU | STATISTIKA | TEHNOLOŠKI SISTEMI | TURIZMOLOGIJA | UPRAVLJANJE KVALITETOM | UPRAVLJANJE PROMENAMA | VETERINA | ŽURNALISTIKA - NOVINARSTVO
Seminarski i Diplomski Rad

preuzmi seminarski rad u wordu » » »  

Besplatni Seminarski Radovi