POCETNA STRANA

Seminarski i Diplomski Rad
 
SEMINARSKI RAD IZ VETERINE
 

PATLJIČARA KOD PSA

Pantljičavost (tenijaza) pasa je vrlo česta helmintoza,koja se klinički manifestuje samo kod mladih životinja.Ona je mnogo značajnija zbog toga što se larveni oblici mnogih vrsta pantljicara pasa razvijaju kod mnogih divljih i domaćih životinja (neke i kod čoveka) izazivajući vrlo teška oboljenja i poremećaje. Infestacija I infekcija pasa ovim crevnim parazitima obično ne dovodi do očiglednih kliničkih manifestacije,ali upravo iz razloga što ljudi mogu da se inficiraju larvenim oblicima pojedinih vrsta (Echinococus) tenijaza pasa i danas je vlo aktuelna u parazitologiji i parazitskim bolestima. Prelazni domaćini mogu I da budu druge domaće životinje gde dolazi do posebnih oboljenja koja najčešće završavaju letalno (cenuroza) ili nanose velike ekonomske štete (ehinokokoza,cisticerkoza). Suzbijanje ovih oboljenja svodi se bukvalno na suzbijanje same pantljičavosti pasa. Da bi detaljno shvatili i razumeli patogenezu,kliničku sliku, patomrfologiju i konačno da bi preduzeli odgovarajuće mere terapije i profilakse potrebno je prvenstveno znati etiologiju, tj. biologiju i biološke cikluse pojedinih pantljičara koje prouzrokuju ovu bolest. Iz toga u ovom radu biće opisane najvažnjije biološke odlike najvažnijih psećih pantljičara.

Najvažnije pantljičare pasa

Domaći i divlji mesojedi mogu da budu inficirani brojnim cestodama različite taksonomske pripadnosti. Infekcija izazvana jednom ili nekolikim vrstama pantljičara naziva se opštim imenom cestodoza. Važnije cestode, prouzrokovači oboljenja kod psa su:

  • Familija Diphyllobothridae

o Diphyllobothrium latum koji ima dva prelazna domaćina, prvi su rakovi, a drugi su slatkovodne ribe

o Spirometra erinacei prvi prelazni domaćini su rakovi, a drugi su zglavkari i sisari.

  • Familija Mesocestoididae o Mesocestoides lineatus

o M. litteratus, koji takođe poseduju dva prelazna domaćina, prvi su kičmenjaci, a drugi su psi, mačke, lisice…

  • Familija Taeniidae

o Taenia hydatigena, čiji je prelazni domaćin ovca, goveče, svinja; o T. pisiformis prelazni domaćin kunić i zec;

o T. ovis, prelazni domaćin ovca;

o Multiceps multiceps njegovi prelazni domaćini su ovca, goveče i koza; o M. serialis, prelazni domaćin kunić, zec i čovek;

o Echinococcus granulosus i

o E. multilocularis, čiji su prelazni domaćini sisari.

  • Familija Dilepididae

o Dipylidium caninum, prelazni domaćini su nekoliko vrsta insekata Ctenocephalides felis, Ctenocephalides canis, Pulex irritans i Trichodectes canis;

o Joyeuxiella pasqualei, prelazni domaćini su gmizavci.

Patljicara

Opšte odlike cestoda

Klasa Cestoda obuhvata plathelminte čije je telo podeljeno na člančiće.Pljosnati crvi imaju oblik trake ili pantljike zbog čega se nazivaju i trakavice. Telo im je dorzoventralno splošteno. Njihova veličina se kreće od 5 mm do 12 m. svaki od ovih člančića predstavlja jednu celinu. Početni deo pantljičare nazivamo skoleks koji može biti različite veličine. Oblik skoleksa može biti loptast, trouglast, a na njemu se nalaze organi za pričvršćivanje. Iza skoleksa nastavlja se vrat i telo (strobila). Skoleks je prednji deo, ima pijavke koje mogu biti izdužene ili cirkularne sa mišićnim vlaknima i služe za pričvršćivanje. Kod nekih pantljičara pijavke su naoružane sitnim trnićima ili kukicama koje su poređane u više venaca. Kod nekih Cestoda pijavke su u obliku uzdužnih jamica ili pukotina i nazivaju se botridije. Može se naći i tvorevina – rostrum na prednjem delu skoleksa koji može biti različitog oblika: okrugao, u obliku kvadrata i sl. Rostrum je naorižan trnićima odnosno kukicama koje su hitinske i tamno smeđe su boje. Može ih biti različit broj od osam do deset, pa i nekoliko stotina. Rostrum je retraktilni organ. Od kaudalne ivice vrata formiraju se proglotide. To je za njih germinativna zona. U toku 24 sata proglotide mogu da formiralu telo dužine osam do deset cm. Telo – strobila sastoji se iz proglotida. Proglotis – člančić predstavlja jednu celinu. U onim odmah iza vrata njihova građa nije jasno diferencirana. Nemaju digestivne organe. Što se ide dalje od skoleksa veza između člančića je sve slabija. Pantljičare su hermafroditi.

Muški genitalni organi sastoje se od semenika, koji su najčešće u vidu loptastih tvorevina. U člančićima ih može biti 50 do 600. Oni formiraju jedan zajednički kanal – ductus deferens, koji ide prema površini tela, a ono mesto gde se zajedno sa vaginom i cirusom izliva naziva se genitalni sinus – atrium genitale.
Završni deo vas deferens je cirus. Može postojati i vesicula seminalis. Takođe može da se jedna polovina uliva u jedan atrijum, a druga u drugi kod udvojenih genitalnih organa. Pora muškog genitalnog aparata dodiruje se sa porom ženskog genitalnog aparata u genitalnom sinusu.

Gradja patljicare

Ženski genitalni organi sastoje se iz ovarijuma – najčešće jednog, a od njega polazi jajovod i uliva se u ootip. Od ootipa (proširenje) započinje uterus ili vaginalni kanal. Ako imaju udvojene genitalne organe onda imaju i udvojene ovarijume i atrium genitale. Postoje i žumančišta – vitelogene žlezde koje su
različitog oblika. Oni člančići gde su izdiferencirani polni organi nazivaju se polno zrelim. U proglotidama razlikujemo dve cevi: jedna je nervna, a druga je ekskretorna.
Na poslednjem člančiću nalazi se otvor za ekskreciju. Sve što idemo kaudalnije nema više semenika i ovarija, člančići su potpuno zreli. U njima su ostali samo uterusi ispunjeni jajima. Veza je slaba pa se člančići lako kidaju i dospevaju u spoljašnje sredinu. Jaja mogu biti pravilnog ili nepravilnog oblika. Sadrže tri omotača i tri para hitinskih kukica, pa se taj embrion naziva embrion hexacant ili oncosphera.

Unutrašnja opna karakteristična je za pojedine vrste.Nervni sistem je u obliku primitivnog gangliona.

Cestode nemaju digestivni trakt. Na kutikuli postoje trofospore u velikom broju. Razložive hranljive supstance tako dospevaju u telo parazita. Pore se nalaze na celoj površini njihovog tela. Cestode su najčešće lokalizovane u tankom crevu, gde ima najviše razložene hrane koju ovi koriste za svoju ishranu. Ekskretorni organi izlučuju svoje proizvode kroz foramen caudale. Postoje metaboliti koji izazivaju hemolizu i druge teške posledice po organizam domaćina. Ima i takvih koje deluju na centralni nervmni sistem ili koji su toksični. Poslednja od tri opne koja obavija embrion naziva se embriofora tj. opna koja obavija jaja. Embriofora biva razložena crevnim fermentima kada dospe u creva i embrion prolazi kroz zid creva. Sada počinje larveni oblik koji je infektivan. Larveni oblici sadrže skoleks i izvrnuti su tj. pijavke su im u obliku stubića. Takav larveni oblik u digestivnom traktu izvrće se tako da pijavke dolaze spolja.

Larvene oblike cestoda podelili smo na dva tipa: vezikularni i avezikularni

(pseudocistični tip).

Vezikularni tipovi larve:

a) vezikula dobro razvijena

Cysticercus – je takav tip larvi koja poseduje samo jedan skoleks, zid je providan tako da se može videti skoleks unutra, vezikula je dobro razvijena.

Multiceps – larva ima membranu germinativu od koje se izvrtanjem formira više skoleksa. U njoj se redovno nalazi tečnost, vezikula je dobro razvijena.

Echinococcus – je larveni oblik koji se razlikuje po posebnoj građi. Ima jaku opnu – kutikulu. Tečnost koja se unutra nalazi je pod pritiskom. Oko kutikule nalazi se vezivno – tkivna membrana. Sa unutrašnje strane kutikule nalazi se fina membrana sastavljena iz jednog reda ćelija – membrana germinativa. Ona stvara sekundarne vezikule – vesiculae proligerae. Tek sa unutrašnje strane ovih vezikula formiraju se skoleksi. Oni su veoma mali, dok je cista velika. U jednom cm3 hidatidnog peska nalazi se 400.000 skoleksa.

b) vezikula kržljava

Cysticercoid – skoleks je direktno obavijen vezivno – tkivnom opnom. Nema tečnosti i malog je rasta. Skoleks je nešto uvraćen, vezikula je bez produžetaka.

Cercocystis – unutar vezikularne opne nalaze se uvraćeni skoleksi. Vezikula je sa produžetkom u vidu repa.

Avezikularni tipovi larve (pseudocistični tip):

Tetrathyridium – unutar omotača nalazi se larva koja je izdužena i sa uvraćenim skoleksom.

Procercoid – larva je mala, čvrsta sa loptastim repnim produžetkom u kome se nalazi šest stileta.

Plerocercoid – larva je čvrsta, u obliku pantljike i sa produžecima botridija u prednjem kraju.

Posle opisanih opštih odlika cestoda sada ćemo se prvenstveno zadržati na opisu pojedinih pantljičara pasa.

Familia Dyphyloboothridae – Rod Diphylolbothrium

Diphyllobothridae su najprimitivnije cestode pasa. Pripadaju redu Pseudophyllidea. Umesto četiri pijavke na skoleksu, kako je to slučaj kod većine vrsta pantljičara, one poseduju samo dve pukotinaste tvorevine koje imaju istu funkciju, nazvane botridije. Iz jajeta se oslobađa koracidijum, trepljasta larva prvog stepena, koju progutaju razne vrste sitnih rakova (Crustacea). U njima se razvija procerkoid (procercoid), larva drugog stepena. Ingestijom prvog prelaznog domaćina inficira se drugi, u kome se formira

Patljicara

plerocerkoid (plerocercoid), infektivan za pravog domaćina. Plerocerkoid liči na odraslu cestodu, ima invaginirani skoleks, ali je bez polnih organa i jasne segmentacije tela. Plerocerkoid roda Spirometra naziva se i spargana (sparganum).

Infekcija prelaznog domaćina često ima fatalan efekat zbog velikih dimenzija plerocerkoida (naročito je veliki broj uginulih riba usled infekcije plerocerkoidom vrste Diphyllobothrium latum).

Familija Mesocestoididae – Rod Mesocestoidese

Ostale cestode mesojeda su iz reda Cyclophyllidea. Mesocestoididae takođe obavezno imaju dva prelazna domaćina. Cisticerkoid se formira u prvom prelaznom domaćinu, zglavkaru, a tetratiridijum (tetrathyridium) u drugom, koji je kičmenjak. Osim što je pravi domaćin za mezocestoidide, pas može da bude i nosioc tetratiridijuma. To su larveni oblici veličine oko 1-2 cm, u torakalnoj ili abdominalnoj duplji, sa sposobnošću umnožavanja poprečnom deobom. Nalaze se incistirani u žućkastim do bledo ružičastim tvorevinama. Prisutni u znatnom broju mogu da budu uzrok nastanka hidrotoraksa, odnosno ascitesa.Najvažniji predstavnik je Mesocestoides lineatus i Mesocestoides literatus.

Familija Taenidae- Rod Taenia

Pripadnici familije Taeniidae obavljaju razvoj preko jednog prelaznog domaćina. To mogu da budu različiti sisari, od sitnih glodara i lagomorfa, preživara, svinja, a za određene vrste i čovek dolazi u obzir. Prelazni domaćin se inficira ingestijom jaja tenida. Jaja su okrugla do okruglasta, sitna, sa debelom opnom. Ona predstavlja zapravo embrionalni omotač čija su dva lista odvojena prostorom koji ispunjava tečni sadržaj, a mestimično su spojeni filamentima koji daju izgled radijalne ispruganosti. Jaja tenida su embrionirana. Nalaze se u uterusu gravidnih proglotida, odakle se oslobađaju po njihovoj dezintegraciji, u crevu pravog domaćina, ili, češće, u spoljnoj sredini. Iz jajeta se u tankom crevu prelaznog domaćina oslobađa embrion nazvan embrion hexacantus (embrion heksakant) zbog šest stileta koje poseduje. Stileti su oblika zašiljene udice i imaju duži i kraći krak. Embrion heksakant pomoću stileta i naročite penetracione žlezde na svom prednjem delu probije zid creva, dospe u portalni krvotok i dalje do jetre.

Kod vrsta Taenia hydatigena i Taenia taeniaeformis razvoj u prelaznom domaćinu se tu i završava. Vrsta T. pisiformis ima predilekciono mesto na seroznim ovojnicama organa trbušne duplje, a Taenia ovis u poprečno-prugastim mišićima. Metacestode vrsta Taenia hydatigena, T. pisiformis i T. ovis su tipa cisticerkus (cysticercus), što podrazumeva vezikularni tip larve sa jednim jedinim protoskoleksom od koga se u pravom domaćinu razvija jedan primerak cestode.

Taenia taeniaeformis

Taenia taeniaeformis ima za larveni oblik strobilocerkus (strobilocercus fasciolaris), takođe larvu vezikularnog tipa, ali koja osim jednog protoskoleksa sadrži i deo strobile, u vidu segmentirane trake koja se nastavlja na vrat. U tankom crevu ta strobila podleže digestiji, a razvoj do odrasle cestode obavlja se kao i iz larve tipa cisticerkus.
Larveni stadijum u prelaznom domaćinu pripadnika roda Multiceps naziva se cenurus (coenurus) i bitno se razlikuje od cisticerkusa po većim dimenzijama i brojnim invaginiranim skoleksima koji su labavo poređani u nizove. Larveni oblici cestode Multiceps serialis - Coenurus serialis - formiraju se u intermuskularnom vezivnom tkivu, ređe u mišićima, a Multiceps multiceps - Coenurus cerebralis - u centralnom nervnom sistemu.

C e n u r o z a

Cenuroza je hronično oboljenje ovaca. Uzročnik je Coenurus cerebralis lokalizovan u CNS – u I to prvenstveno u mozgu. Patogeno delovanje cenurusa je uglavnom mehaničko, tj. uzročnik kada stigne u mozak obrazuje cenurusni mehur koji pritiska moždanu teksturu i dovodi do degenerativnih promena u mozgu.

Naravno dolazi do oštećenja nervnih fizioloških centara i obolela životinja uglavnom ispoljava nekordinisano kretanje. Iskod je letalan. Pri obdukciji redovno se u mozgu pronalazi cenurusni mehur.

Familija Dilepididae- Rod Dipilidium

Razvojni ciklus Dilepidida obavlja se posredstvom insekata i sitnih sisara. Larveni oblici su avezikularne larve tipa cisticerkoid (cysticercoid). Dipylidium caninum je cestoda srednje veličine. Njen cisticerkoid može da se razvije u hemocelu nekoliko vrsta insekata Ctenocephalides felis, Ctenocephalides canis, Pulex irritans i Trichodectes canis. Infekcija larvi ovih insekata nastaje prilikom koprofagije. Mesojedi se inficiraju ingestijom odraslih insekata koji izazivaju svrab i uzrokuju češanje i griženje. Čovek, naročito deca, može takođe da postane nosilac pantljičare unošenjem delova insekata sa površine tela psa ili mačke ili samih cisticerkoida. Ovo su najčešće pantljičare pasa. (oko 80% zastupljenosti)

Životni ciklus Dipilidiuma

Joyeuxiella pasqualei se ređe sreće od prethodne vrste. Razvoj se odvija posredstvom sitnih kičmenjaka (gušteri). Jaja dilepidida mesojeda nalaze se u manjim (Joyeuxiella spp) ili većim grupama (Dipylidium spp) unutar zajedničke ovojnice koja podseća na gnezdo i naziva se jajna čaura (capsula ovifera). Oslobađaju se tek prskanjem ove čaure.

Rod Echinococcus

Rod Echinococcus predstavlja najznačajnije pantljičare pasa. Ehinokokoza je teška podmukla bolest ljudi i životinja , poznata od najstarijih vremena. Ehinokokoza je zoonoza – bolest koja se sa životinja prenosi na ljude. Pas je glavni i konačni domaćin pseće pantljičare .Paraziti su

Rod Echinococcus

malog rasta (3 do 5 mm) i sastoje se iz malog broja člančića (3 do 5). Skoleks je mali i ima do 60 kukica. Poslednji člančić je najveći i ima dobro razvijen uterus bez bočnih grana. To su paraziti tankog creva. Obuhvata dve vrste

Echinococcus granulosus i Echinococcus multilocularis.

Echinococcus granulosis-adult

Echinococcus granulosus spada u red najsitnijih cestoda. Dužine su tri do pet milimetara i širine 0,5 do 0,6 mm. sastoje se iz najviše pet proglotida. Parazitiraju u tankom crevu psa, vuka, šakala, hijene, dinga i donekle lisice, koji su dakle pravi domaćini. Skoleks je okruglast, na njemu se nalazi retraktilni rostrum naoružan sa dvostrukim vencem kukica. Jaja su ovalnog oblika veličine 32 do 36 µm.

Režim držanja i ishrane pasa u gradovima je takav da imaju manje mogućnosti da se inficiraju nego seoski psi ili psi lutalice. Međutim, ne može biti sumnje da postoji direktna proporcija između raširenosti Echinococcus granulosus kod pasa i raširenosti ehinokokoze kod domaćih životinja i ljudi.

Infekcija domaćih životinja nastaje unošenjem jaja pantljičare Echinococcus granulosus putem hrane i vode. Stoga i prvi uslovi za nastajanje oboljenja su inficirani psi preko čijeg se izmeta kontaminiraju hrana i voda. Pošto inficirani psi praktično tokom cele godine eliminišu sa izmetom jaja parazita (kod pojedinih pasa može se naći na hiljade parazita, a u svakom njihovom zadnjem člančiću na stotine jaja), to je infekcuija ljudi i životinja moguća tokom cele godine, zbog čega ehinokokoza nema sezonski karakter. S druge strane, da bi se psi inficirali moraju da pojedu organe zaklanih ili uginulih životinja sa fertilnim cistama ehinokoka, a to je takođe moguće preko cele godine.

Infekcija patljicarom

Infekcija domaćih životinja moguća je svuda gde defeciraju psi. Međutim ona se ipak obavlja najčešće na paši, jer se tamo izmet pasa pod dejstvom kiše razmekša i raspadne te se prisutna jaja parazita raznesu vodom po pašnjaku. Infekcija u stočnim objektima je retka, jer psi imaju manje prilike da u njima defeciraju, a ukoliko to i učine njihov izmet se najčešće uklanja zajedno sa stajskim đubretom. S druge strane, domaće životinje (izuzev svinja) nisu koprofagi te se ne mogu direktno inficirati. Međutim, moguća je kontaminacija stočne hrane ako inficirani psi direktno defeciraju u nju. Takođe je moguća i kontaminacija vode za piće ako inficirani psi defeciraju pored nehigijenskih bunara i cisterni (gde se sliva okolna površinska voda), pored stajaćih voda odakle se životinje napajaju, zatim u valove za napajanje itd.

Ljudi se najčešće inficiraju indirektno preko kontaminisanog povrća, kada psi nosioci pantljičare Echinococcus granulosus defeciraju u povrtnjacima. Takođe se mogu inficirati i direktno, naročito deca, kada se igraju sa psima i miluju ih po dlaci, a zatim jedu neopranim rukama ili nesvesno stavljaju prste u usta. Najviše jaja je ustanovljeno u dlaci oko anusa, jer otkinuti zadnji člančići mogu samostalno da migriraju iz rektuma u nabore anusa i na okolnu dlaku gde se sasuše i raspadnu. Takođe se mogu naći u većem broju i na dlaci bokova, jer psi leže na zemlji gde ima i izmeta (pogotovo psi koji se drže na manjem prostoru).

Treba napomenuti i činjenicu da su jaja Echinococcus granulosus dosta otporna u spoljnjoj sredini, u kojoj mogu ostati sposobna za infekciju duže vremena. Isto tako je značajno sa aspekta mogućnosti infekcije pasa, otpornost fertilnih cista u konfiskatima zaklanih i leševima uginulih životinja. Prema nekim ispitivanjima, skoleksi zadrže sposobnost za infekciju pasa preko 30 dana kada se ciste drže na temperaturi od 2°C. Psi se mogu inficirati i skoleksima iz potpuno zaleđenih cista držanih na -8°C jedan dan ili na -3°C tri dana. Takođe infekcija je moguća i skoleksima iz cista držanih 6 do 7 dana na 24 do 26°C i pet dana na 30°C, iako je jetra sa cistama tada već u stanju raspadanja.

Kada pas ili drugi pravi domaćin (šakal, hijena, australijski pas dingo, a donekle i lisica) pojedu fertilnu cistu u njihovom tankom crevu iz svakog skoleksa razvija se po jedna pantljičara E. granulosus. Kada ovca, koza, goveče, čovek ili neki drugi prelazni domaćin proguta jaja ove pantljičare, iz njih se oslobađaju onkosfere (embrion hexacant), probijaju zid creva i preko venae portae dospevaju u jetru. Najveći deo njih se ovde zadržava i završava svoj razvoj, jedan deo odlazi u srce, a odatle u pluća, jedan deo tu ostaje, a drugi

Echinococcus polymorphus

preko aorte i arterijske krvi odlaze u sve delove srca. Kada embrion dospe u određeni organ nastaje njegov razvoj u obliku ciste. Pošto embrion izgubi stilete počinje rast ciste. Posle četrdeset dana veličine su oko jedan milimetar, posle tri meseca oko 1.5 do 2 mm, posle pet meseci oko 1 do2 cm. Posle nekoliko godina ona se poveća i dostiže veličinu jajeta, pesnice, pa i dečije glave. Larveni oblik se naziva Echinococcus polymorphus.

Ehinokokne ciste najčešće se sreću u jetri i plućima, ređe u drugim organima (bubrezi, slezina, srce, mozak itd.). veličina i oblik cista zavise od njihove starosti i lokalizacija, kao i od vrste, starosti i otpornosti inficiranih životinja. Ciste mogu biti unilokularne, koje su najčešće zastupljene kod domaćih životinja i multilokularne, čiji je nalaz znatno ređi.
Ove poslednje su nepravilnog izgleda i sastoje se od mnogobrojnih šupljina (koje su ispunjene žućkastom želatinskom masom) razdvojenih vezivno – tkivnim pregradama. Unilokularne ciste mogu biti fertilne i sterilne. Fertilna cista sastavljena je od spoljne hitinozne, elastične opne i unutrašnje germinativne (membrana germinativa), iz koje bujaju vezikula proligera u kojima se obrazuju skoleksi. Cista je ispunjena hidatidnom tečnošću i velikim brojem slobodnih vezikula proligera i skoleksa. U jednom mililitru hidatidne tečnosti može se naći nekoliko stotina hiljada skoleksa (protoskoleksa). Sterilne ciste su one u kojima se nisu razvili skoleksi ili su oni propali usled delovanja odbrambenih snaga organizma. U samoj fertilnoj cisti ili na njenoj spoljnjoj površini mogu se razviti ciste ćerke ili ređe ciste unuke. Ciste mogu biti primarne, ako su obrazovane direktno iz onkosfera (posle njihovog zaustavljanja u tkivu), ili sekundarne, ako su se razvile iz skoleksa prsnute primarne ciste. Sekundarne ciste mogu se obrazovati u susedstvu primarne ciste ili na većoj udaljenosti od nje. Npr, generalizacija ehinokokoze kao posledica rasturanja skoleksa u trbušnoj duplji ili u plućima.

Echinococcus multilocularis – manji je od E. granulosus, veličine je 2 do 4 mm. Ima veći broj člančića od E. granulosus, najčešće oko 4. Broj semenika je manji i kreće se od 21 do 29. Može da se nađe u tankom crevu psa, mačke i lisice. Larveni oblici nazivaju se Echinococcus alveolaris. Radi se o larvenim oblicima koji se razvijaju pretežno kod glodara. Unutrašnja membrana ima sve odlike karcinom ćelija, jer prodire u okolno tkivo i razara ga. Ima manje značaja od E. granulosus.

Održavanje i širenje ehinokokoze kod životinja i ljudi zavisi od sledećih faktora: Broj pasa koji imaju mogućnosti za posredan ili neposredan kontakt sa stokom (prvenstveno seoski psi i psi lutalice); Broj i vrste domaćih životinja, naročito ovce; Način držanja životinja (stajski, pašnjački ili mešoviti); Materijalni, kulturni i higijenski nivo stanovništva, naročito stočara; Stanje i nivo veterinarsko – sanitarne kontrole zaklanih životinja; Postojanje i valjanost stočnih grobalja, kao i drugih mogućnosti za neškodljivo uklanjanje životinjskih leševa.

Klinička manifestacija cestodoze kod pasa

Kao posledica parazitizma cestoda u tankom crevu, može da se razvije katarlni enteritis. Kliničke manifestacije zavise od stepena infekcije tako da razlikujemo akutni koji je burniji i hronični tok.

Cestode kod pasa u najvećem broju slučajeva ne izazivaju naročite simptome. Ukoliko su prisutne u većem broju, naročito kod mlađih životinja, mogu da izazovu dugotrajnu dijareju koja se povremeno smenjuje sa opstipacijom. Apetit može da bude smanjen, što je praćeno smanjenjem telesne mase, zastojem u rastu i razvoju.

Posebno ako se radi o infekciji dilepididama, psi i mačke mogu da zauzimaju sedeći stav i na razne načine pokušavaju da savladaju svrab izazvan izlaskom proglotisa iz analnog otvora i njihovim kretanjem u perianalnom predelu.

Postoje i opisi konvulzija i epileptiformnih napada kod pasa inficiranih cestodama, što se pripisuje toksičnom delovanju ovih helminata.

Kod infekcije difilobotridama postoji mogućnost pojave izražene anemije koja je prouzrokovana osobinom ovih cestoda da apsorbuju velike količine vitamina B12. Pokazano je da je ovo slučaj samo kad su cestode lokalizovane u početnom delu tankog creva, ali ne i ako se nalaze na uobičajenom mestu, odnosno u ileumu. Uginuća su retka,ali pri jakoj infekciji I oslobađanju velikog broja toksina mogu se pojaviti.

Dijagnoza

Dijagnoza cestodoze mesojeda obavlja se koprološkim pregledom i postmortalnim pregledom. Kod koprološkog pregleda treba imati u vidu da je eliminacija proglotida neredovna, odnosno da ne moraju da budu prisutne u svakoj pojedinačno izlučenoj količini izmeta. Vlasnicima takođe treba skrenuti pažnju da posmatranjem stolice svojih ljubimaca mogu da zapaze proglotide koje su kod dilepidida veličine koštice krastavca, a kod ostalih vrsta nešto veće. Ponekad proglotide mogu da se zapaze i na koži perianalnog predela. Od metoda koproskopije primenjuju se flotacija zasićenim rastvorima veće specifične težine (vodeni rastvor cink-sulfata) ili se izmet pregleda metodom sedimentacije.

Obdukcijom uginulih životinja u tankom crevu mogu da se nađu različite vrste cestoda koje izazivaju kataralni enteritis. Naročito vrste Echinococcus granulosus i

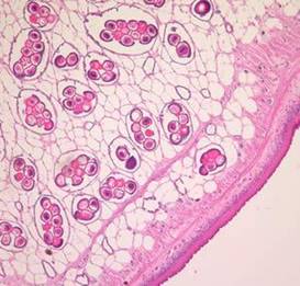
Dipylidium caninum mogu da budu prisutne u velikom broju. Determinacija vrsta moguća je na osnovu pregleda pojedinih proglotida i skoleksa, bilo nativno, bilo u fiksiranim i bojenim preparatima. Pronalazak jaja i proglotida u fecesu je ključan za dijagnozu pantljičavosti pasa.

Paketi jaja Dipilidiuma

Paketi jaja Dipilidiuma

Terapija

Danas postoji veliki broj uspešnih antihelmintika u borbi protiv cestodoze pasa.Za dehelmintizaciju se koriste uglavnom nekoliko vrsta antihelmintiika koji deluju na veći broj vrsta pantljičara uključujući i Echinococcus granulosis. Mogu se primeniti preparati na bazi prazikvantela,albendazola,mebendazola…. Danas se mnogo dobro pokazao Bayerov proizvod “Droncit” koji se često koristi u praksi malih životinja. Doziranje je 1 tab.na 10kg.telesne mase. Povoljno je davati “Droncit” 14 dana pre vakcinacije i ponavljati svakih 15 dana.

Profilaksa

Osnova profilakse je u tome da se spreči infekcija pasa prelaznim oblicima i da se spreči infekcija prelaznih domaćina jajima pantljičara. Mogućnosti sprovodjenja i efekat mera zavisi od prosvećenosti stanovnoštva i samih stočara. Obavezna je dehelmintizacija navedenim preparatima,ali u manjim dozama. Psu se treba obezbediti dobri zoohigijenski i zooambijentalni uslovi.

Literatura:

  • Kulišić Zoran: Helmintologija, Beograd, 2001.
  • Aleksić Nevenka: Parazitske bolesti, Beograd, 2008.
  • S. Šibalić, Lj. Cvetković: Parazitske bolesti domaćih životinja, Beograd, 1996. Lj.Cvetković: Parazitske bolesti za IV razred srednje škole, Beograd , 2004  
  • www.bio.georgiasouthern.edu/bio-home/nayduch/parasitwebpage/indexparasit.html 
  • www.marlin.ac.uk/taxonomydescriptions.php www.phsource.us/PH/PARA/Chapter_8.html

PROČITAJ / PREUZMI I DRUGE SEMINARSKE RADOVE IZ OBLASTI:
ASTRONOMIJA | BANKARSTVO I MONETARNA EKONOMIJA | BIOLOGIJA | EKONOMIJA | ELEKTRONIKA | ELEKTRONSKO POSLOVANJE | EKOLOGIJA - EKOLOŠKI MENADŽMENT | FILOZOFIJA | FINANSIJE |  FINANSIJSKA TRŽIŠTA I BERZANSKI    MENADŽMENT | FINANSIJSKI MENADŽMENT | FISKALNA EKONOMIJA | FIZIKA | GEOGRAFIJA | HEMIJA I INFORMACIONI SISTEMI | INFORMATIKA | INTERNET - WEB | ISTORIJA | JAVNE FINANSIJE | KOMUNIKOLOGIJA - KOMUNIKACIJE | KRIMINOLOGIJA | KNJIŽEVNOST I JEZIK | LOGISTIKA | LOGOPEDIJA | LJUDSKI RESURSI | MAKROEKONOMIJA | MARKETING | MATEMATIKA | MEDICINA | MEDJUNARODNA EKONOMIJA | MENADŽMENT | MIKROEKONOMIJA | MULTIMEDIJA | ODNOSI SA JAVNOŠĆU |  OPERATIVNI I STRATEGIJSKI    MENADŽMENT | OSNOVI MENADŽMENTA | OSNOVI EKONOMIJE | OSIGURANJE | PARAPSIHOLOGIJA | PEDAGOGIJA | POLITIČKE NAUKE | POLJOPRIVREDA | POSLOVNA EKONOMIJA | POSLOVNA ETIKA | PRAVO | PRAVO EVROPSKE UNIJE | PREDUZETNIŠTVO | PRIVREDNI SISTEMI | PROIZVODNI I USLUŽNI MENADŽMENT | PROGRAMIRANJE | PSIHOLOGIJA | PSIHIJATRIJA / PSIHOPATOLOGIJA | RAČUNOVODSTVO | RELIGIJA | SOCIOLOGIJA |  SPOLJNOTRGOVINSKO I DEVIZNO POSLOVANJE | SPORT - MENADŽMENT U SPORTU | STATISTIKA | TEHNOLOŠKI SISTEMI | TURIZMOLOGIJA | UPRAVLJANJE KVALITETOM | UPRAVLJANJE PROMENAMA | VETERINA | ŽURNALISTIKA - NOVINARSTVO
Seminarski i Diplomski Rad

preuzmi seminarski rad u wordu » » »  

Besplatni Seminarski Radovi