POCETNA STRANA

Seminarski i Diplomski Rad
 
SEMINARSKI RAD IZ VETERINE
 

Malassezia pachydermatis

Uzročnik ovog dermatitisa je kvaščeva gljivica Malassezia pachydermatis. Ova gljivica kao i većina drugih kvaščevih gljivica (kao npr. Candida albicans) su normalni stanovnici kože i sluzokoža pasa i mačaka. Veoma često se izoluju iz spoljašnjeg ušnog kanala ili sa kože zdravih pasa i mačaka. Infekcija ovim gljivicama najčešće predstavlja komplikaciju drugih bolesnih stanja kože, posebno alergija i poremećaja keratinizacije. (Popović, 2012) Nastanku bolesti su vrlo često podložne i životinje koje su duže vreme bile podvrgnute nekom antibiotskom tretmanu, životinje koje pate od nekih imunosupresivnih bolesti i dr.

Etiologija

Rod Malassezia broji 6 vrsta lipofilnih kvaščevih gljivica koje se razmnožavaju aseksualnom deobom (pupljenjem). Ovakav način razmnožavanja je i razlog njenog tipičnog izgleda koji podseća na kikiriki ili otisak stopala. Veličina im je mala i iznosi 2 – 7 μm i ne stvaraju pseudomicelijum. Rastu na Saburaund dekstroznom agaru i formiraju okrugle, konveksne i žute kolonije (Carlotti, 2005).
Mnoga istraživanja su pokazala da je Malassezia pachydermatis sastavna komponenta normalne kožne flore pasa. Oko 50% zdravih pasa su nosioci ove gljivice koja može da se nađe u spolašnjem ušnom kanalu, na koži (posebno u analnoj regiji, na usnama i ekstremitetima) i na dlačnom pokrivaču. (Carlotti, 2005). Neki autori ovu gljivicu svrstavaju i u oportunističke patogene.

Patogeneza

Odgovor organizma domaćina na prisustvo gljivica uključuje nespecifične i sprecifične mehanizme odbrane (Carlotti, 2005). Povrede kože, kao i poremećaji odbrambenih mehanizama organizma omogućavaju umnožavanje ovih gljivica i ispoljavanje njihovih patogenih osobina. Faktori koji omogućavaju umnožavanje Malassezia pachydermatis su:

  • prekomerno stvaranje kožne masti ili cerumena
  • povećanje vlažnosti
  • pucanje epidermalne barijere
  • i kožni nabori (Carlotti, 2005).

Najčešći uzroci ovih promena su sledeći:

  • alergijska stanja kao što je atopijski dermatitis,
  • piodermije,
  • ektoparazitska oboljenja - demodikoza,
  • endokrini poremećaji - hipotireodizam,
  • poremećaji keratinizacije: epidermalna displazija kod Zapadno - škotskog terijera, idiopatska seboreja,
  • tretmani sa glukokortikoidima ili antibioticima (Carlotti, 2005).

Malasezije proizvode mnoge enzime među kojima su proteaze i lipaze koje svojom aktivnošću doprinose nastanku inflamatornog procesa menjajući pH kože i izazivajući oslobađanje eikosanoida i aktivaciju komplementa. (Carlotti, 2005). Iz ovoga se može zaključiti da Malassezia pachydermatis ima ulogu alergena. U retkim slučajevima Malassezia moze biti primarni uzrok nastanka promena na koži. Neke rase pasa kao što su: Zapadno - škotski beli terijer-westi, Baset, Jazavičar, Koker španijel, Pudla, Nemački ovčar, Koli, Šetlandski ovčar – Šelti, Džek Rasel terijer, Australijski svileni terijer, Australijski terijer, Špringer španijel, Šar – Pei su genetski predisponirane za nastanak Malassezia dermatitisa. Nije primećena rasna i polna predispozicija (Carlotti, 2005). Malassezia dermatitis je često sezonskog karaktera i javlja se od proleća do početka jeseni, mada u nekim slučajevima može da se javi i zimi.
Nema indikacija da je dermatitis izazvan sa Malassezia pachydermatis kontagiozne prirode.

Klinička slika

U kliničkoj slici dermatitisa izazvanih sa Malassezia pahydermatis prisutni su mnogi simptomi. Najčešće je prisutan intenzivan pruritus i gotovo uvek se javlja u slučajevima ovog dermatitis. Pored pruritusa, kod ove infekcije koža je eritematozna, masna i pokrivena žućkastim ljuspama, javlja se generalizovana alopecija i seboreja. Na početku bolesti pored eritema javljaju se papule i makule. Usled razlaganja masti, pod uticajem enzima ovog mikroorganizma, životinja ima neprijatan miris na užeglu mast. Promene se javljaju u interdigitalnim prostorima, perianalnoj regiji, na ventralnom delu vrata, u aksilarnoj regiji i na kožnim naborima. Javlja se i regionalni dermatitis na ušima, usnama i bradi. Kao posledica svih ovih stanja može da dođe do lihenifikacije i hiperpigmentacije (Carlotti, 2005). Pored svih ovih simptoma nije neobično da se uporedo javi i otitis externa.
Alopecija, lihenifikacija i hiperpigmentacijaMalassezia pododermatisLokalizovani oblik je dosta češći od generalizovanog oblika Malassezia dermatitisa. Delovi tela koji imaju tendenciju za većim nakupljanjem masnoće i vlažnosti na koži imaju veću predispoziciju za nastanak Malassezia dermatitisa (Charach, 1997). U literaturi se navodi da može da se javi i uvećanje regionalnih limfnih čvorova, ali ne kao stalno prateći symptom

 


Slika br. 3, Alopecija, lihenifikacija i hiperpigmentacija          Slka br. 4, Malassezia pododermatis

 

Uznapredovali pododermatitis Promena boje oko baze nokta 

 

 

 

 

 

 Slika br. 5, Uznapredovali pododermatitis                        Slika br. 6, Promena boje oko baze nokta

Dijagnoza

Dijagnoza se postavlja na osnovu anamnestičkih podataka, kliničkog pregleda i odgovarajućih metoda za dokazivanje Malassezia vrsta na koži obolele životinje. Metode koje se mogu koristiti za dijagnostiku prisustva Malassezia pachydermatis su: citološki pregled, uzgajanje i izolovanje kultura na hranljivim podlogama, histopatologija i terapijska proba. Od navedenih metoda se najčešće koriste citološka metoda i terapijska proba kao potvrda dijagnoze. Ostale metode se manje koriste zbog toga što su skuplje i duže se čeka na rezultate.
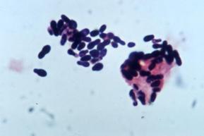
Malassezia pachydermatisMalassezia pachydermatis pod svetlosnim mikroskopomUzorkovanje materijala za citološki pregled vrši se skarifikacijom kože, uzimanjem briseva celofanskom trakom ili štapićima za bris. Ova metoda omogućava direktan uvid u prisustvo ćelija Malassezia pachydermatis u materijalu uzetom jednom od navedenih metoda. Od navedenih metoda uzorkovanja najčešće se koristi celofanski bris, dok uzimanje uzoraka štapićima za bris se koristi kod uzimanja uzoraka kod otitis externa. U materijalu uzetom za citološki pregled uočavaju se okrugle ili ovalne ćelije veličine 3 – 5μm.
Slike br. 7 i 8, Prikaz ćelija Malassezia pachydermatis pod svetlosnim mikroskopom
Rast Malassezia vrsta na hranljivim podlogamaDokazivanje prisustva Malassezia na koži i dlaci pasa može da se vrši i kulturelnim pregledom. Kao uzorak za ovu može da se koristi dlaka, skarifikati, delovi podloge na kojoj je životinja spavala itd. Podloga koja se koristi za rast Malassezia pachydermatis je Sabouraud dekstrozni agar sa dodatkom hloramfenikola i cikloheksamidina. Ova metoda nema veliki dijagnostički značaj, jer ova gljivica spade u normalnu floru kože pasa (Carlotti, 2005).

 

 

Slika br. 9, Rast Malassezia vrsta na hranljivim podlogama


Malassezia sp. na histološkom preparatuHistopatološkim pregledom kože, obojenom PAS metodom bojenja, može da se vidi prisustvo gljivica na površini epidermisa. Ova metoda je manje osetljiva od citološke metode pregleda (Carlotti, 2005).
Terapijska proba je poslednja metoda u dijagnostici ovog oboljenja i predstavlja najpouzdaniju metodu dijagnostike. Ukoliko nakon primene terapije dodje do nestanka ili smanjenja simptoma dermatitis, dijagnoza je time potvrđena.

Slika br. 10, Malassezia sp. na histološkom preparatu

Diferencijalna dijagnoza

Diferencijalna dijagnoza uključuje mnoge dermatoze praćene pruritusom, eritemom, hiperpigmentacijom, seborejom, bakterijska oboljenja kože, demodikozu, šugu, alergijski odgovor na lekove, idiopatska acanthosis nigricans, epiteliotropne limfome i svi seborejični dematitisi. U suštini klinički znakovi kod Malassezia dermatitis su varijabilni i mogu da imitiraju razne dermatoze (Carlotti, 2005).

Terapija

Najefektivnija terapija kod Malassezia dermatitisa je sistemska trapija sa ketokonazolom u dozi od 10 mg/kg, peroralno na svakih 12h u trajanju od 20 – 30 dana (Charach, 1997).  Kao i svi derivati azola, ketokonazol deluje vezivajući se za citohrom P450, inhibirajući nastanak ergosterola koji je bitna komponenta ćelijske membrane gljivica. Ovo dovodi do poremećaja aktivnosti raznih membranskih enzima i poremećaja propustljivosti ćelijske membrane  (Carlotti, 2005). Pored ovih svojstava, ketokonazol ima i antiinflamatorne osobine delujući na sintezu leukotrijena. Preporučuje se da se lek pomeša sa hranom i na taj način aplikuje životinji.  Umesto ketokonazola može da se primeni i itrakonazol. Prema nekim autorima, Malassezia pachydermatis nije pokazala otpornost ni prema drugim najčešće korišćenim antigljivičnim lekovima kao što su derivati azola, nistatin, amfotericin – B, 5 – fluorocitozin. Grizeofulvin nije efektivan u terapiji Malassezia dermatitisa.
Kao alternativa u sistemskom lečenju koristi se i lokalna aplikacija antimikotika u vidu gelova, krema, losiona, sprejeva i šampona. Ovaj vid terapije može da se koristi u kombinacij sa sistemskom terapijom, iako to nije dalo bolje rezultate od same sistemske terapije. Preparate bi trebalo topikalno aplikovati 2 – 3 puta nedeljno tokom 2 nedelje, a zatim jednom nedeljno (Carlotti, 2005).
Redovna terapija je jako bitna jer neredovna terapija je najčešći uzrok neuspeha u lečenju ovog oboljenja. Prvi rezulati uspešne terapije bi trebali da se jave nakon prve nedelje od početka primene terapije. Nakon prve nedelje tretiranja pruritus se smanjuje dok lezije potpuno nestaju nakon 2 nedelje tretiranja. Sam tretman bi trebao da traje barem mesec dana, ali može da se produži i na 2 meseca dok se ne povuku svi simptomi oboljenja. Najčešće se sa terapijom nastavlja  7 – 10 dana nakon nestanka kliničkih simptoma (Carlotti, 2005).

Zaključak

Malassezia pachydermatis je lipofilna kvaščeva gljivica koja je kao komensal stalno prisutna na koži pasa i mačaka. Najčešće perzistira u spoljašnjem ušnom kanalu, perianalnoj regiji, na ekstremitetima, usnama kao i na celokupnom dlačnom pokrivaču. Neki autori ovu gljivicu smatraju i oportunističkim patogenom. Infekcije ovom gljivicom najčešće nastaju sekundarno, kao posledica nekih autoimunih oboljenja, ektoparazitskih oboljenja, imunodeficijentnih stanja, piodermija, endokrinopatija, dugotrajnog korišćenja glukokortikoida i antibiotika i dr. Relativno se često javlja sa različitim kliničkim znacima od kojih su najčešći intenzivan pruritus i neprijatan miris životinje na užeglu mast. Lako se dijagnostikuje brzim i pouzdanim citološkim metodama dijagnostike. Iako dobro odgovara na većinu antigljivičnih lekova, terapija je dugotrajna i zahteva redovnu aplikaciju lekova.

Literatura
  • Carlotti D.N, 2005, Proceedings of the WSAVA Congress, Mexico City, Mexico.
  • Charach M, 1997, Veterinary dermatology, Can Vet J Volume 38, 311 – 314.
  • Popović N, 2012, Bolesti kože, Bolesti pasa i mačaka (autorizovana predavanja), Beograd
  • www.agefotostock.com/en/Stock-Images/Rights-Managed/BSI-1476007

PROČITAJ / PREUZMI I DRUGE SEMINARSKE RADOVE IZ OBLASTI:
ASTRONOMIJA | BANKARSTVO I MONETARNA EKONOMIJA | BIOLOGIJA | EKONOMIJA | ELEKTRONIKA | ELEKTRONSKO POSLOVANJE | EKOLOGIJA - EKOLOŠKI MENADŽMENT | FILOZOFIJA | FINANSIJE |  FINANSIJSKA TRŽIŠTA I BERZANSKI    MENADŽMENT | FINANSIJSKI MENADŽMENT | FISKALNA EKONOMIJA | FIZIKA | GEOGRAFIJA | HEMIJA I INFORMACIONI SISTEMI | INFORMATIKA | INTERNET - WEB | ISTORIJA | JAVNE FINANSIJE | KOMUNIKOLOGIJA - KOMUNIKACIJE | KRIMINOLOGIJA | KNJIŽEVNOST I JEZIK | LOGISTIKA | LOGOPEDIJA | LJUDSKI RESURSI | MAKROEKONOMIJA | MARKETING | MATEMATIKA | MEDICINA | MEDJUNARODNA EKONOMIJA | MENADŽMENT | MIKROEKONOMIJA | MULTIMEDIJA | ODNOSI SA JAVNOŠĆU |  OPERATIVNI I STRATEGIJSKI    MENADŽMENT | OSNOVI MENADŽMENTA | OSNOVI EKONOMIJE | OSIGURANJE | PARAPSIHOLOGIJA | PEDAGOGIJA | POLITIČKE NAUKE | POLJOPRIVREDA | POSLOVNA EKONOMIJA | POSLOVNA ETIKA | PRAVO | PRAVO EVROPSKE UNIJE | PREDUZETNIŠTVO | PRIVREDNI SISTEMI | PROIZVODNI I USLUŽNI MENADŽMENT | PROGRAMIRANJE | PSIHOLOGIJA | PSIHIJATRIJA / PSIHOPATOLOGIJA | RAČUNOVODSTVO | RELIGIJA | SOCIOLOGIJA |  SPOLJNOTRGOVINSKO I DEVIZNO POSLOVANJE | SPORT - MENADŽMENT U SPORTU | STATISTIKA | TEHNOLOŠKI SISTEMI | TURIZMOLOGIJA | UPRAVLJANJE KVALITETOM | UPRAVLJANJE PROMENAMA | VETERINA | ŽURNALISTIKA - NOVINARSTVO
Seminarski i Diplomski Rad

preuzmi seminarski rad u wordu » » »  

Besplatni Seminarski Radovi